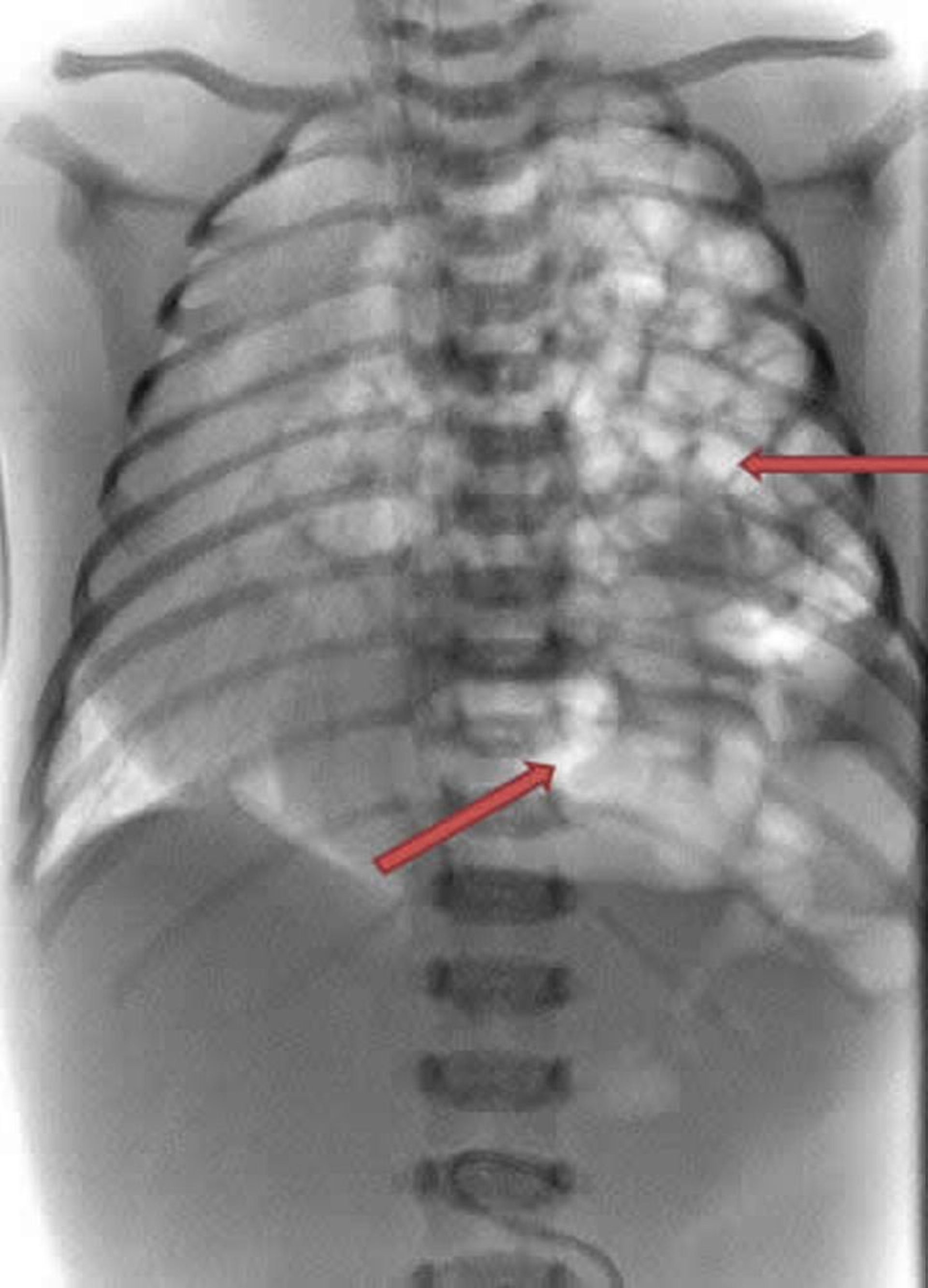
Diaphragmatic Hernia
This x-ray of a newborn shows the intestines (white coils) are protruding into the left side of the chest (arrows).
DU CANE MEDICAL IMAGING LTD/SCIENCE PHOTO LIBRARY
In these topics
This x-ray of a newborn shows the intestines (white coils) are protruding into the left side of the chest (arrows).
DU CANE MEDICAL IMAGING LTD/SCIENCE PHOTO LIBRARY