honeypot link
skip to main content
Professional
Consumer
MERCK MANUAL
Consumer Version
HEALTH TOPICS
HEALTHY LIVING
SYMPTOMS
EMERGENCIES
DRUG INFO
RESOURCES
COMMENTARY
ABOUT US
HEALTH TOPICS
HEALTHY LIVING
<
Images
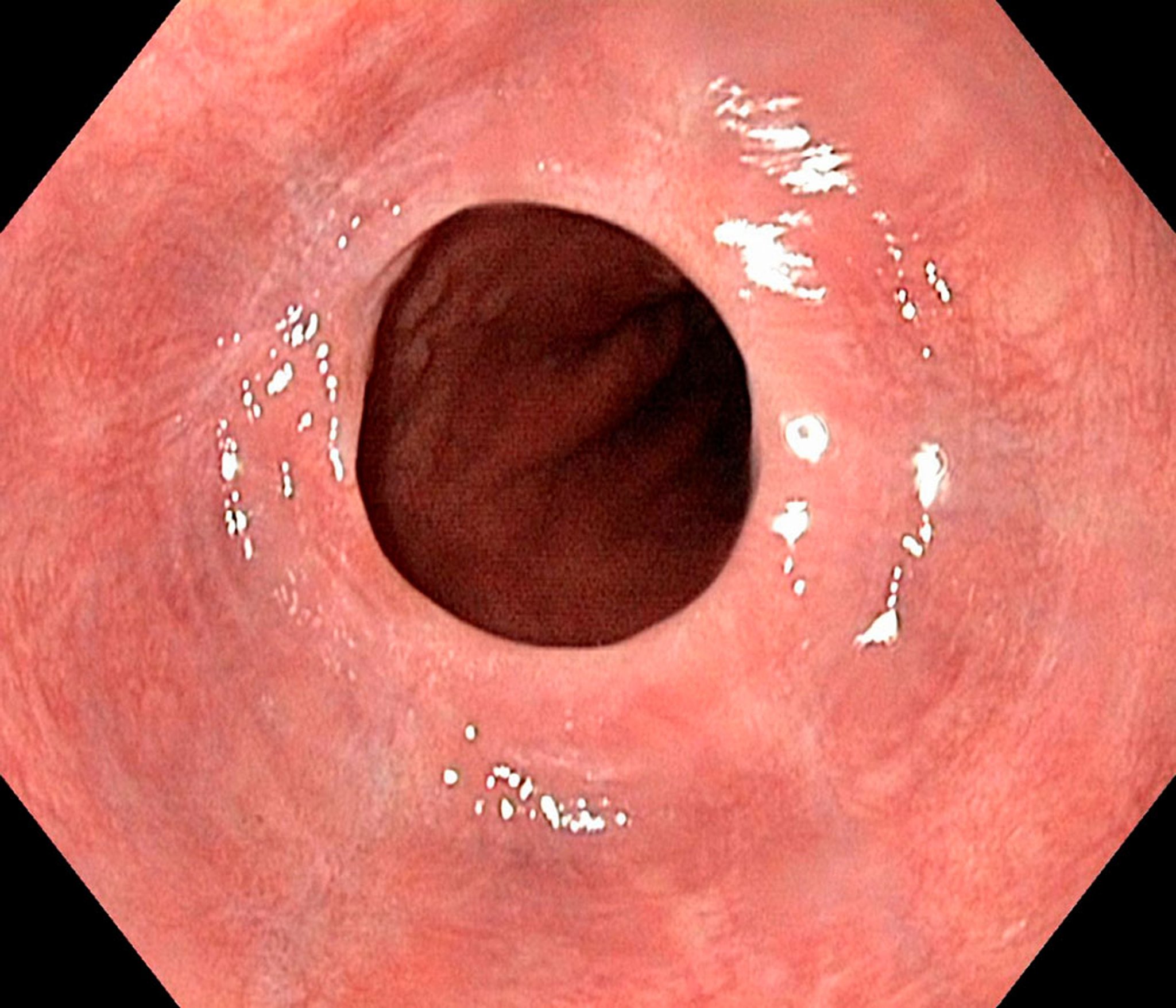
Esophageal Web
This photo shows a thin membrane blocking part of the esophagus.
GASTROLAB/SCIENCE PHOTO LIBRARY
In these topics
Esophageal Webs
>