Ewing Sarcoma of Bone
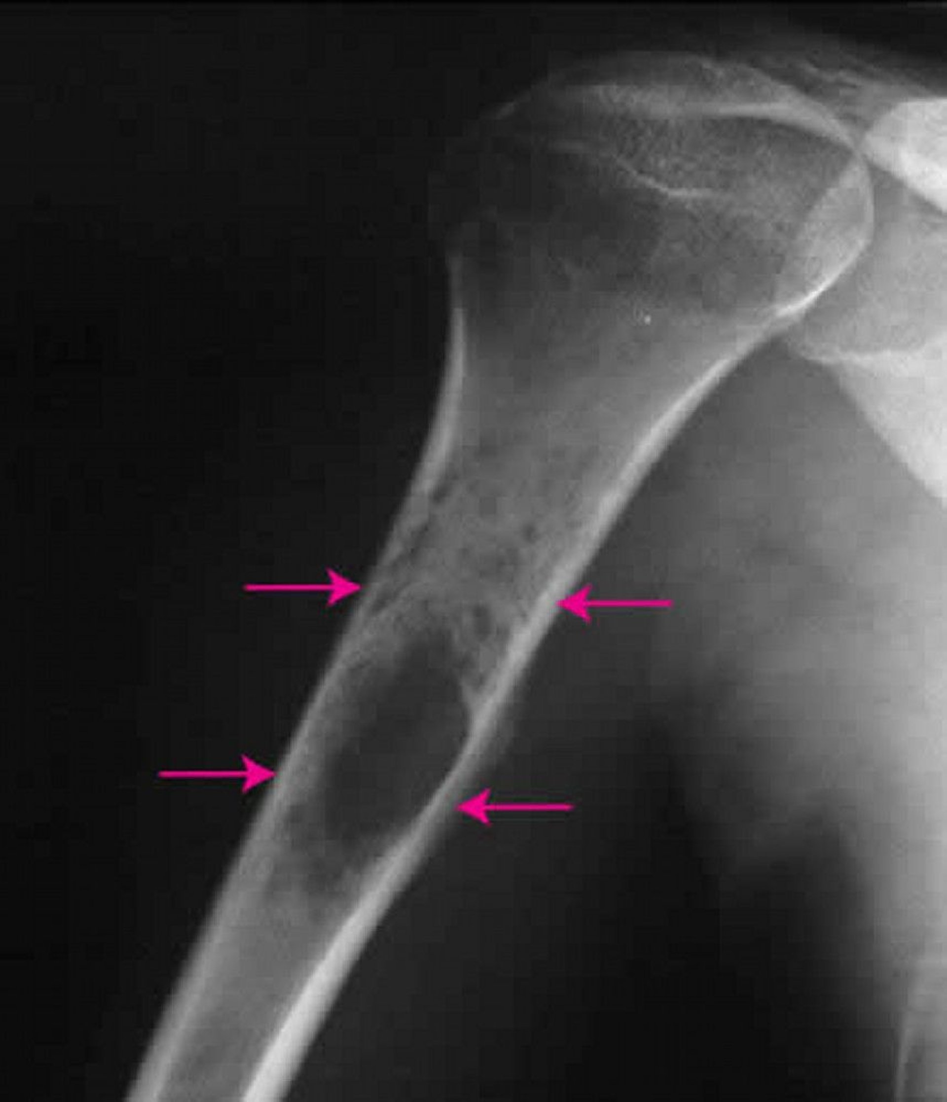
This x-ray of the shoulder shows a Ewing sarcoma (arrows) inside the upper arm bone.
Image courtesy of Michael J. Joyce, MD, and Hakan Ilaslan, MD.
In these topics
This x-ray of the shoulder shows a Ewing sarcoma (arrows) inside the upper arm bone.
Image courtesy of Michael J. Joyce, MD, and Hakan Ilaslan, MD.