honeypot link
skip to main content
MSDMERCK MANUALConsumer Version
HEALTH TOPICSHEALTHY LIVINGSYMPTOMSEMERGENCIESDRUG INFORESOURCESCOMMENTARYABOUT US
homeHEALTH TOPICSHEALTHY LIVING
Search icon
  1. <Images
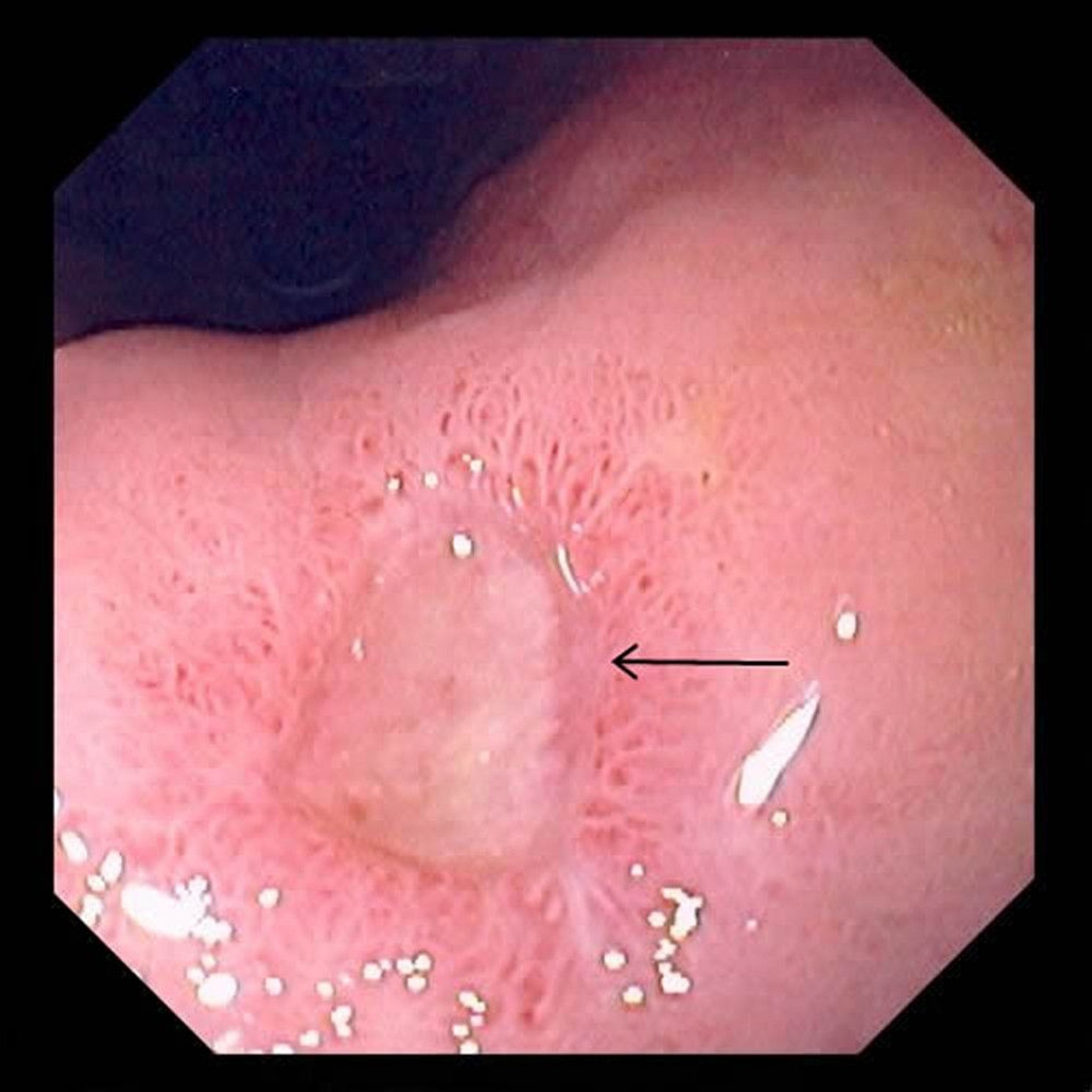
    Gastric Ulcer

    Gastric Ulcer

    This photo shows a large ulcer (arrow) in the stomach.

    Photo provided by David M. Martin, MD.

    In these topics
    • Peptic Ulcer Disease >
    • Quick Facts: Peptic Ulcer Disease >
    MSD
    • About
    • Disclaimer
    • Permissions
    • Privacy
    • Cookie Preferences
    • Terms of use
    • Partnerships
    • Contact Us
    • Veterinary Manual
    • Global Medical Knowledge
    • Mobile App
    MSD

    Copyright© 2026Merck & Co., Inc., Rahway, NJ, USA and its affiliates. All rights reserved.