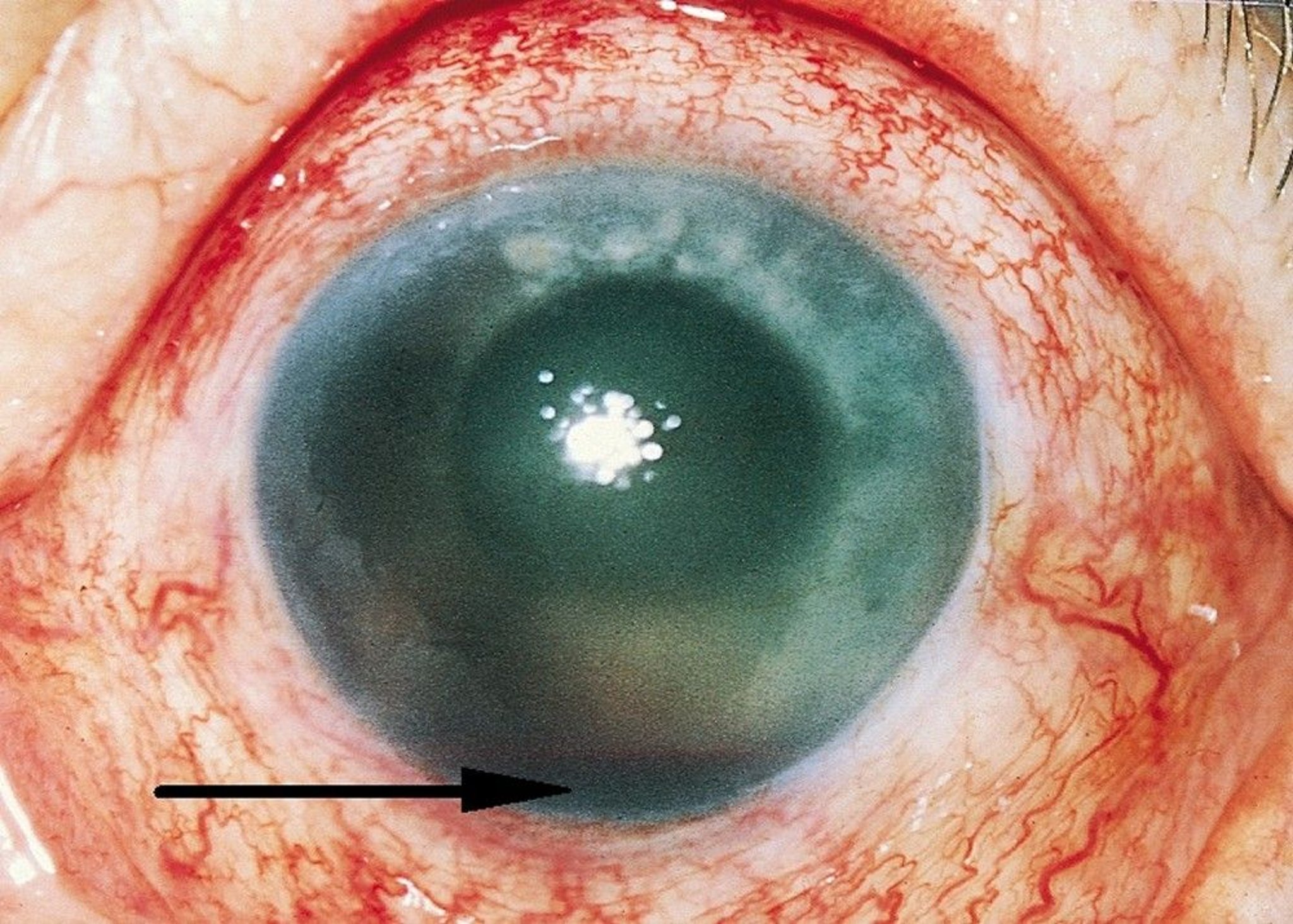
Hyphema
This person has a hyphema (arrow) and redness of the thin mucous membrane that covers the cornea (conjunctiva).
© Springer Science+Business Media
In these topics
This person has a hyphema (arrow) and redness of the thin mucous membrane that covers the cornea (conjunctiva).
© Springer Science+Business Media