Midshaft Thighbone Fracture
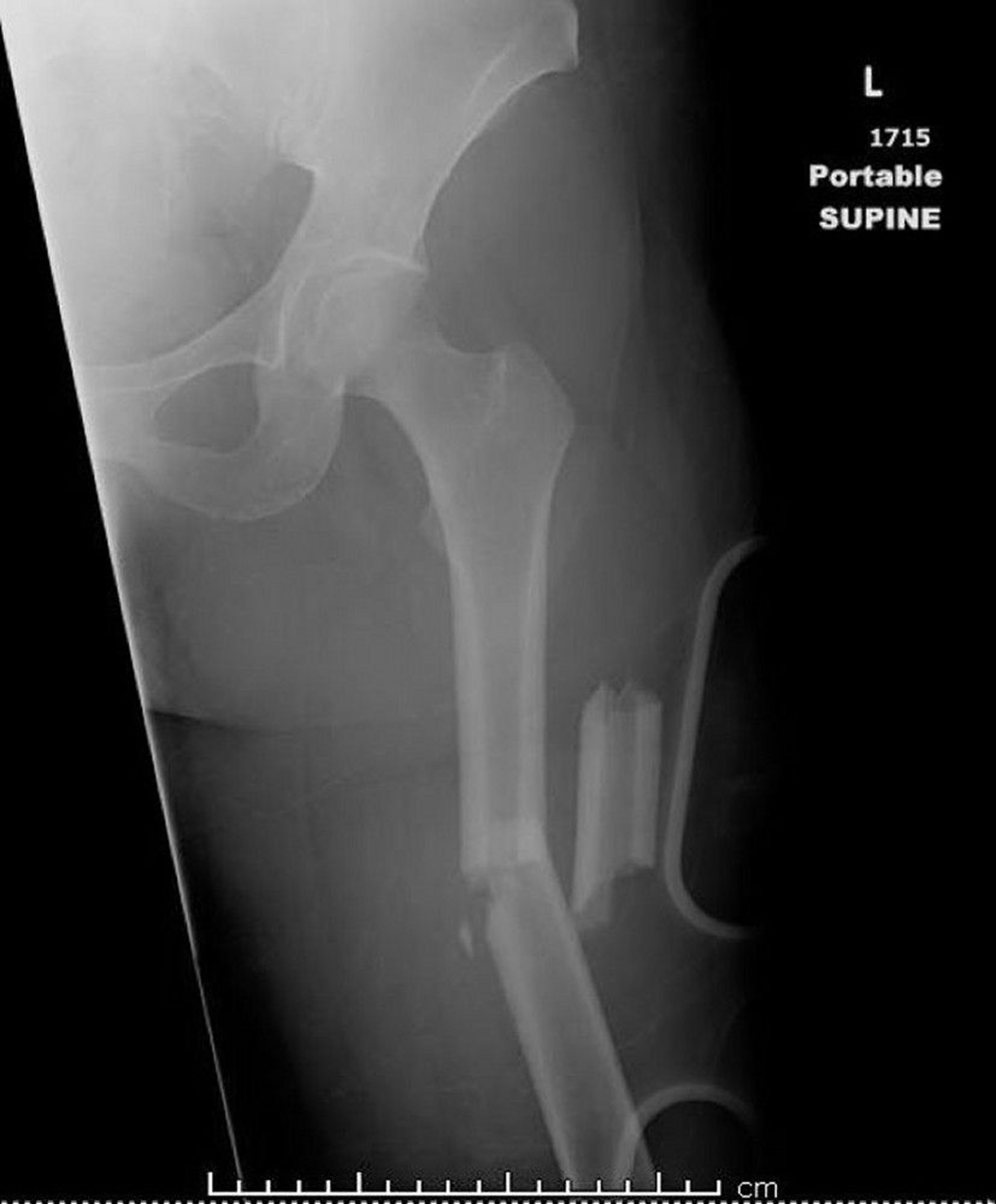
This image shows a femur that is fractured in more than two places (comminuted).
Image courtesy of Danielle Campagne, MD.
In these topics
This image shows a femur that is fractured in more than two places (comminuted).
Image courtesy of Danielle Campagne, MD.