Nonossifying Fibroma
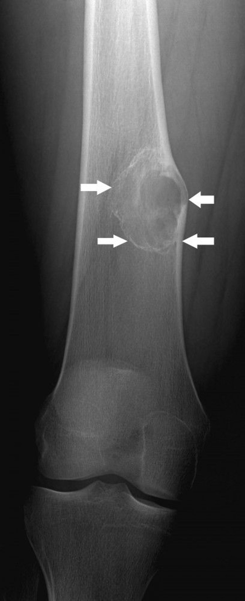
This x-ray shows a nonossifying fibroma (arrows) above the knee in the thigh bone.
Image courtesy of Michael J. Joyce, MD, and Hakan Ilaslan, MD.
In these topics
This x-ray shows a nonossifying fibroma (arrows) above the knee in the thigh bone.
Image courtesy of Michael J. Joyce, MD, and Hakan Ilaslan, MD.