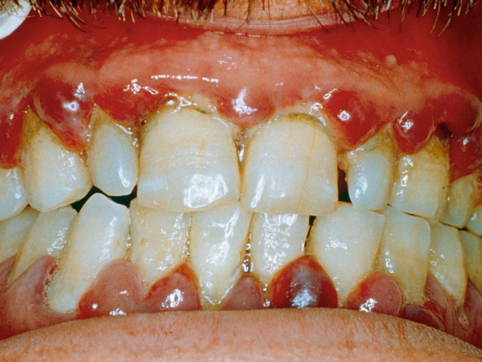
Swollen Gums in Scurvy
This photo shows swollen, purple gums in a person who has scurvy.
BIOPHOTO ASSOCIATES/SCIENCE PHOTO LIBRARY
In these topics
This photo shows swollen, purple gums in a person who has scurvy.
BIOPHOTO ASSOCIATES/SCIENCE PHOTO LIBRARY