Abdominal Aortic Dissection
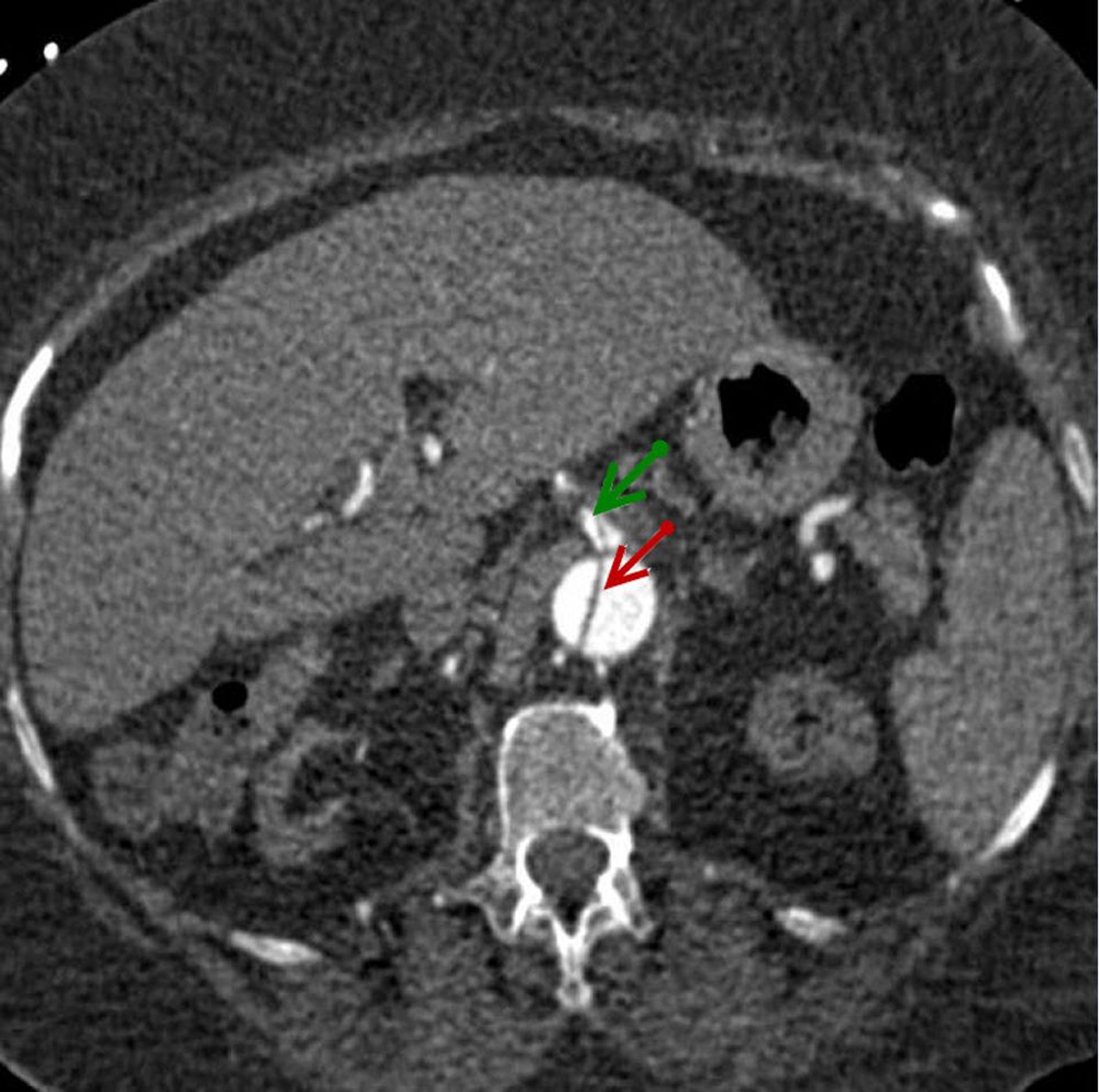
Axial image of dissection flap in descending abdominal aorta (red arrow) that extends into superior mesenteric artery (green arrow).
© 2017 Elliot K. Fishman, MD.
In these topics
Axial image of dissection flap in descending abdominal aorta (red arrow) that extends into superior mesenteric artery (green arrow).
© 2017 Elliot K. Fishman, MD.