Acute Ischemic Stroke (MRI)
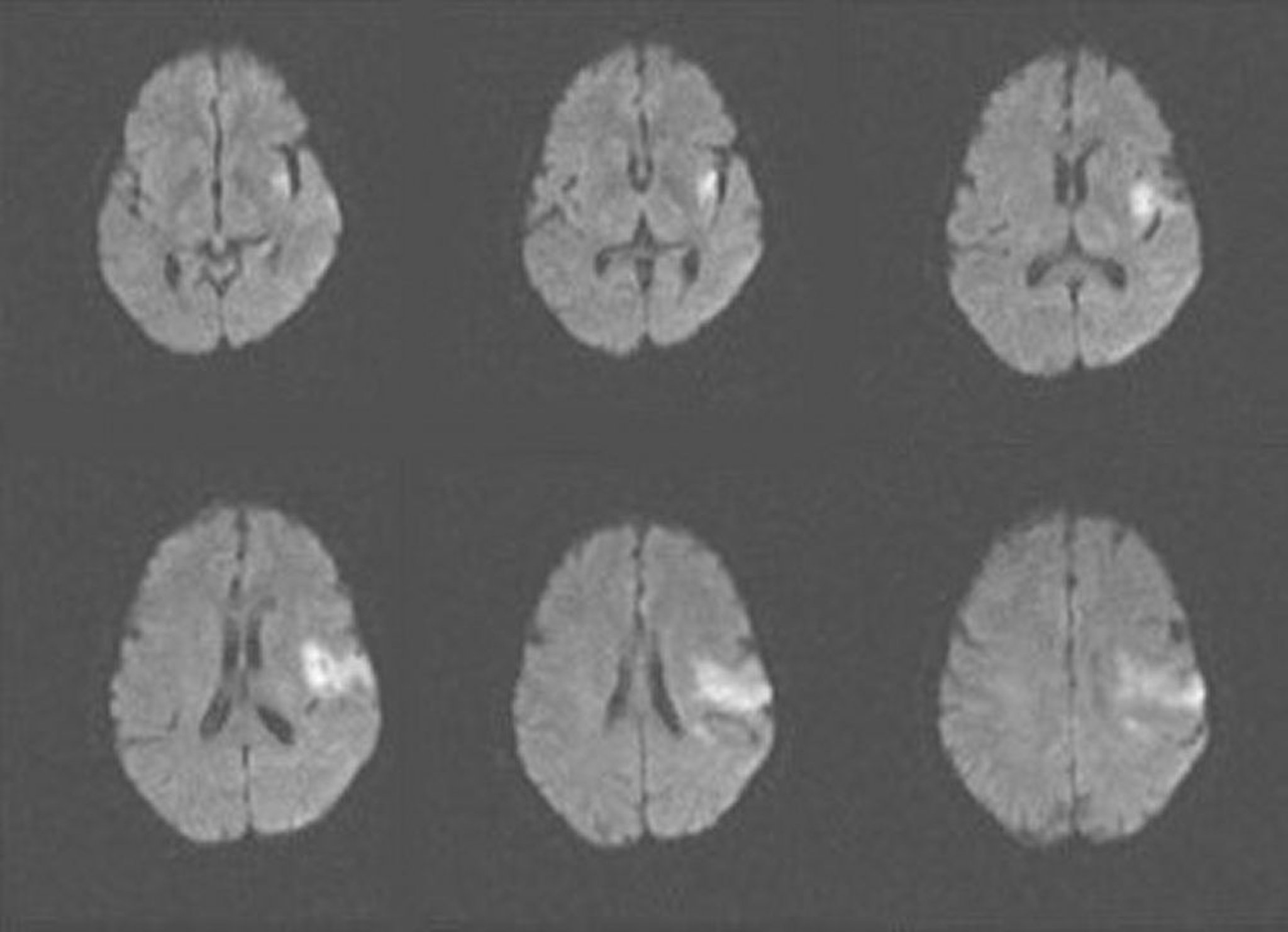
This MRI scan shows an area of restricted diffusion consistent with an acute ischemic stroke in the left insular and frontal lobes.
Image courtesy of Ji Y. Chong, MD.
In these topics
This MRI scan shows an area of restricted diffusion consistent with an acute ischemic stroke in the left insular and frontal lobes.
Image courtesy of Ji Y. Chong, MD.