Aneurysmal Bone Cyst of the Wrist
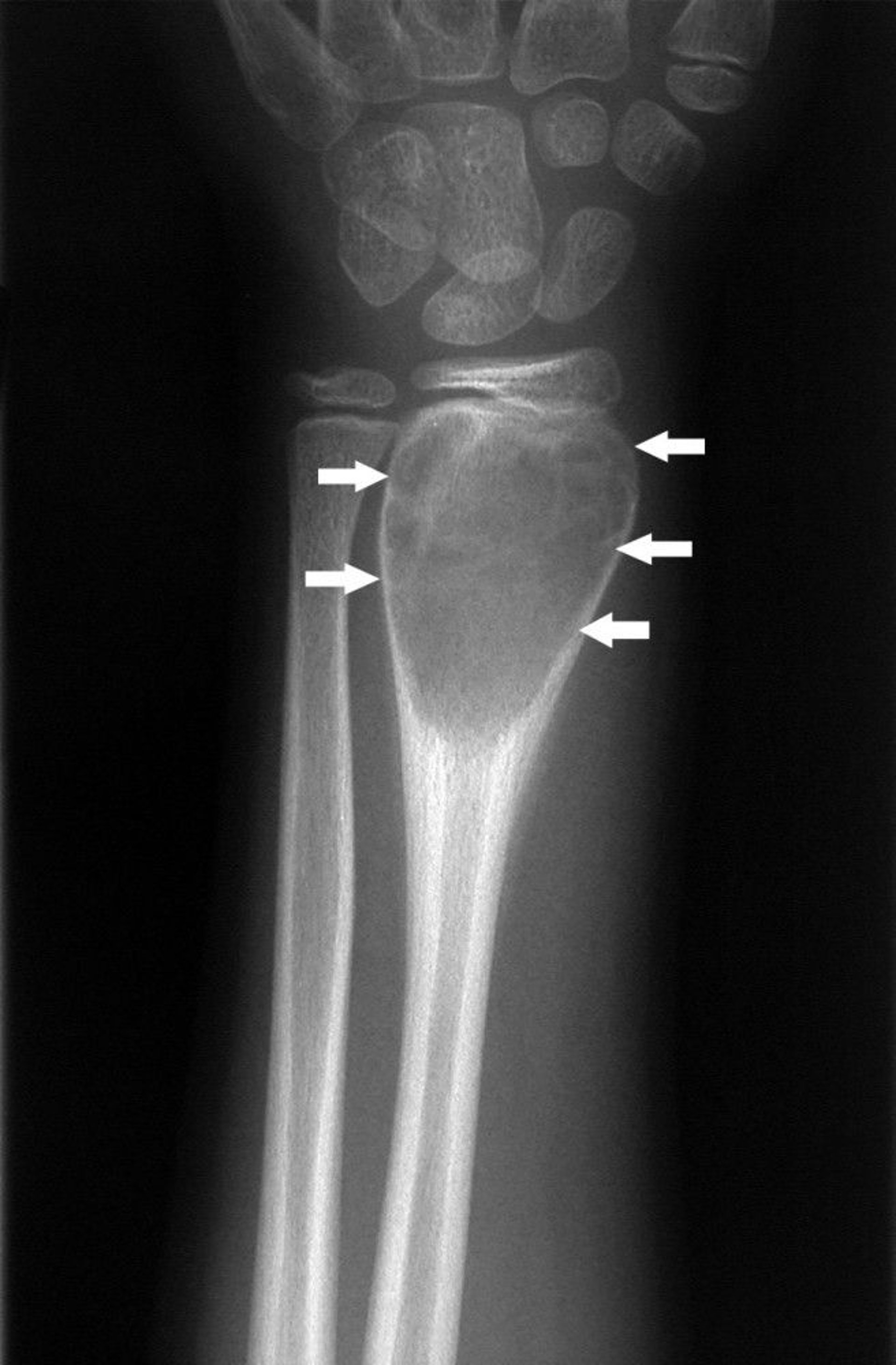
This wrist radiograph shows periosteal new bone formation around the expansile lesion (arrows), which is characteristic of an aneurysmal bone cyst.
Image courtesy of Michael J. Joyce, MD, and Hakan Ilaslan, MD.
In these topics
