Anterior Chamber Hemorrhage (Hyphema)
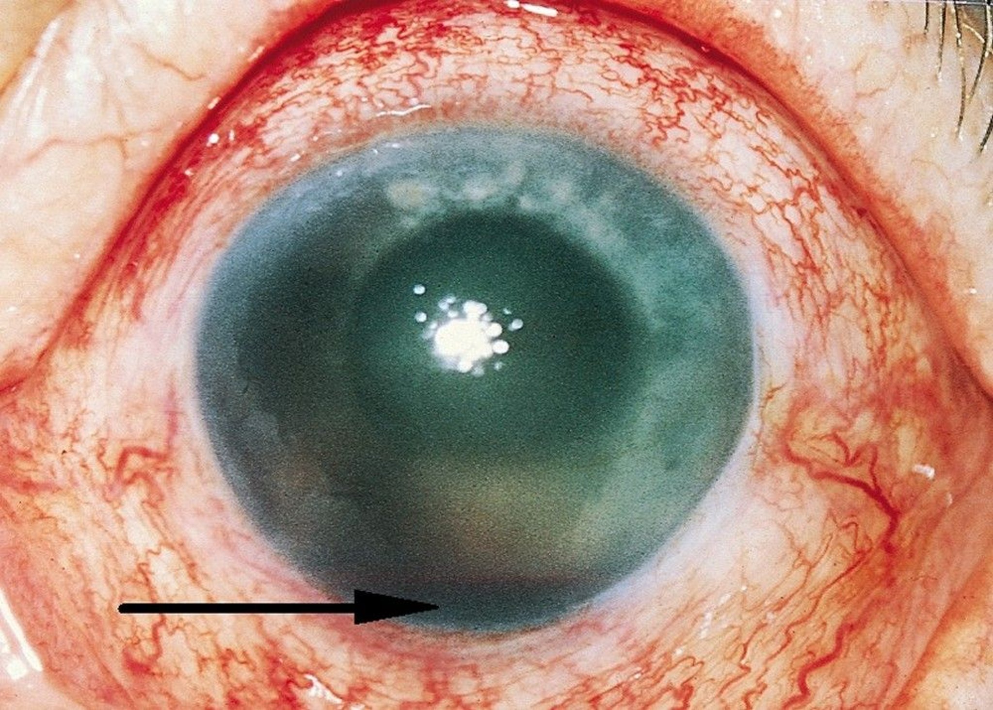
This patient has a traumatic hyphema (arrow) and conjunctival injection after a traumatic injury to the eye.
© Springer Science+Business Media
In these topics
This patient has a traumatic hyphema (arrow) and conjunctival injection after a traumatic injury to the eye.
© Springer Science+Business Media