Cervical Spine Involvement in Rheumatoid Arthritis
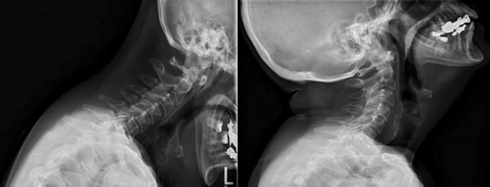
These flexion and extension radiographs of the cervical spine show widening of the atlantoaxial distance measuring up to 5 mm on the flexion view, which reduces with extension.
Image courtesy of Kinanah Yaseen, MD.
In these topics
