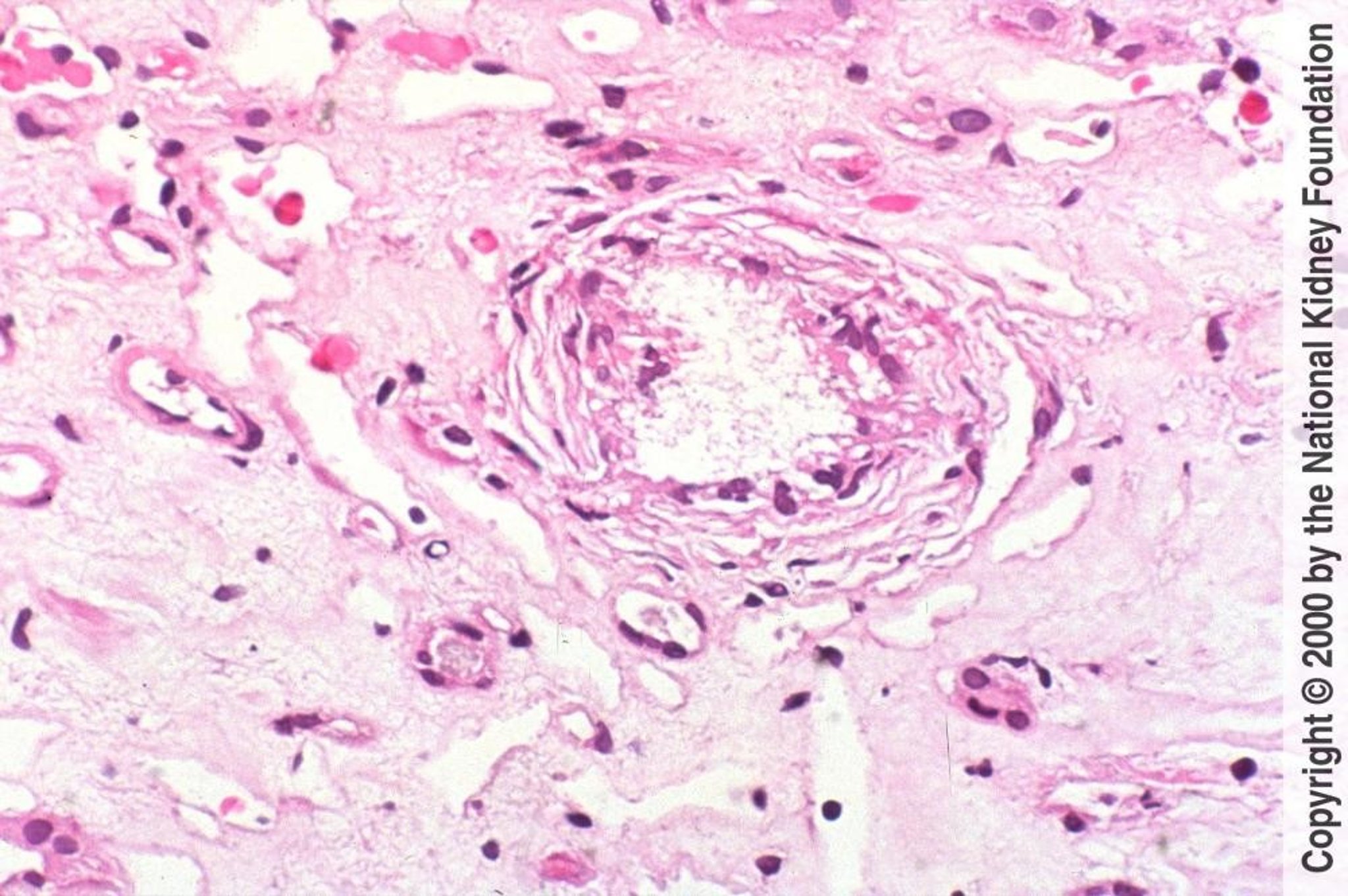
Chronic Urate Nephropathy
Biopsy specimen demonstrates microtophi comprising needle-shaped crystals within the tubule, with tubular degeneration and surrounding inflammatory reaction and fibrosis. Tophus formation is now rare, and biopsy findings are typically nonspecific and include arteriolosclerosis, interstitial fibrosis, and tubular atrophy (hematoxylin-eosin stain, ×200).
Image provided by Agnes Fogo, MD, and the American Journal of Kidney Diseases' Atlas of Renal Pathology (see www.ajkd.org).
In these topics
