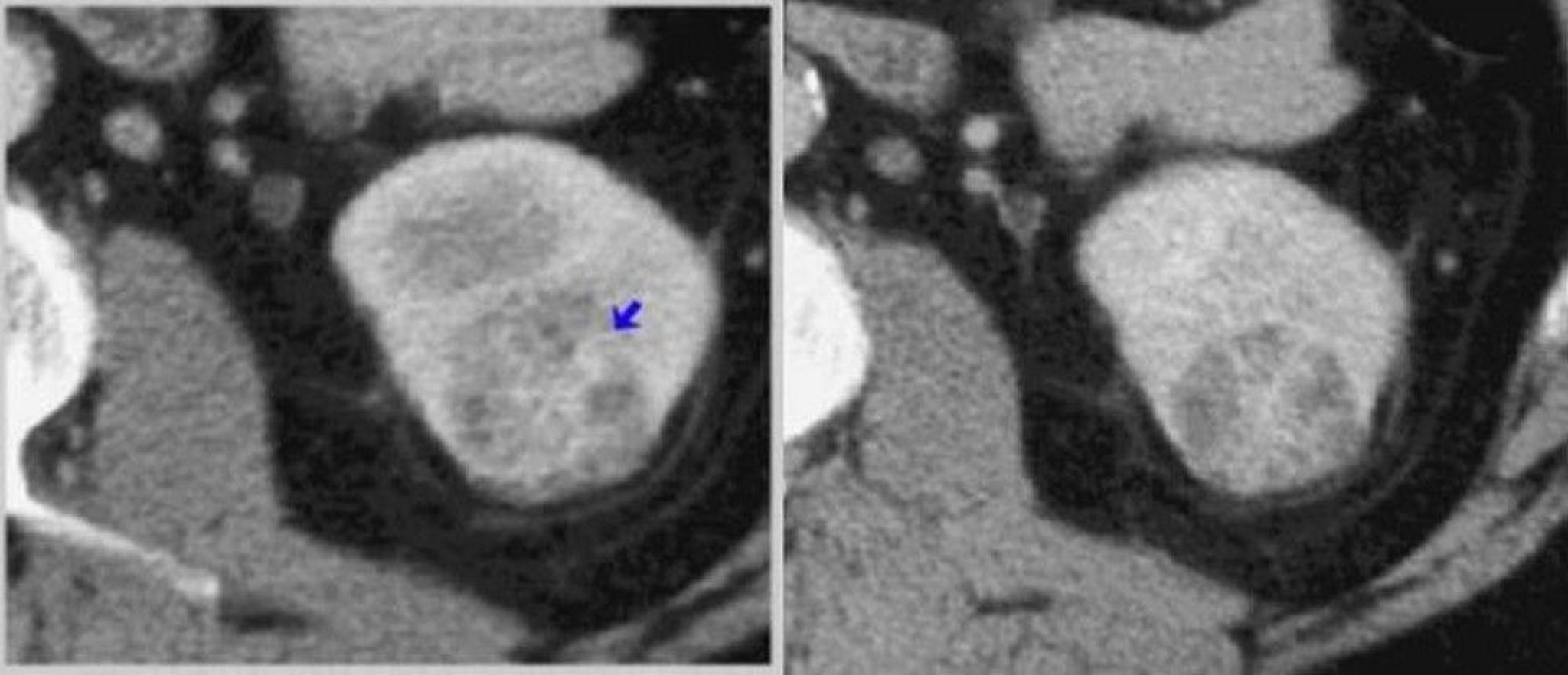
Contrast CT Scan of the Kidney (Corticomedullary and Nephrogenic Phases)
On the left, a corticomedullary phase CT scan shows a heterogeneously enhancing tumor (arrow). On the right, a nephrographic phase CT scan better defines the tumor.
© Springer Science+Business Media
In these topics
