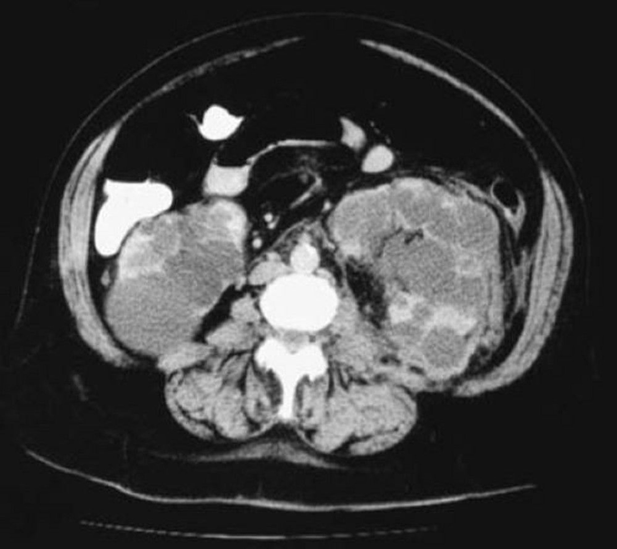
CT Axial View of Polycystic Kidneys
This CT scan of the kidneys shows numerous cysts varying in size. Little renal parenchyma is left.
© Springer Science+Business Media
In these topics
This CT scan of the kidneys shows numerous cysts varying in size. Little renal parenchyma is left.
© Springer Science+Business Media