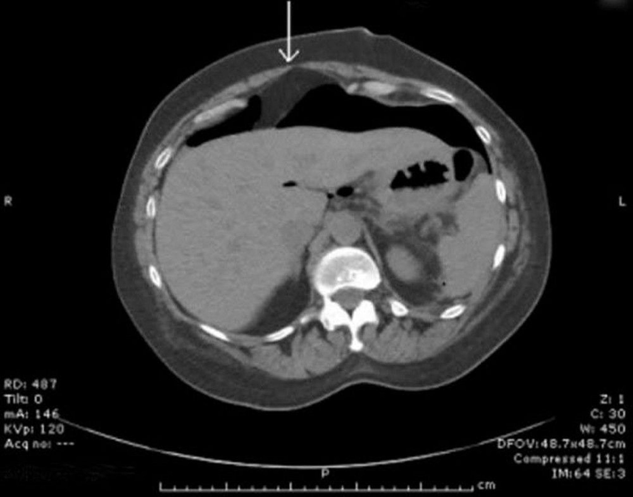
CT With Free Peritoneal Air
Free air is seen anterior to the liver. The arrow points to the falciform ligament.
Image provided by Parswa Ansari, MD.
Free air is seen anterior to the liver. The arrow points to the falciform ligament.
Image provided by Parswa Ansari, MD.