Cystic Fibrosis (CT Scan)
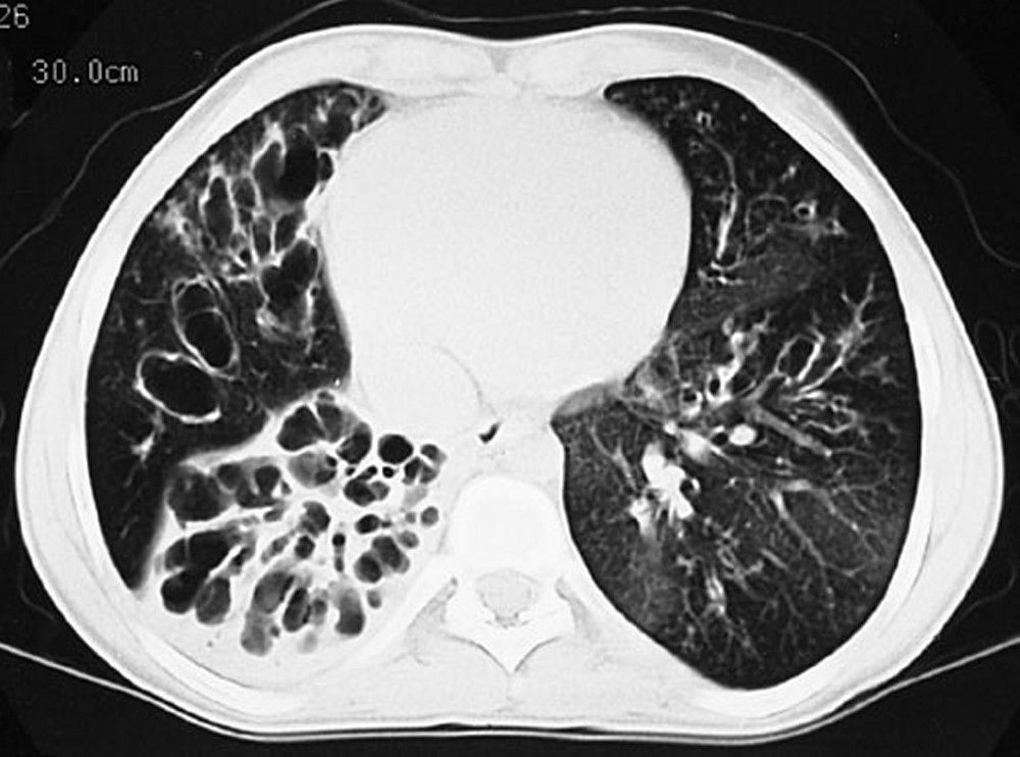
This CT scan shows greatly dilated bronchi throughout the lungs. Findings are typical for CF but not specific.
By permission of the publisher. From Berman L: Atlas of Anesthesia: Critical Care. Edited by R Miller (series editor) and RR Kirby. Philadelphia, Current Medicine, 1997.
In these topics
