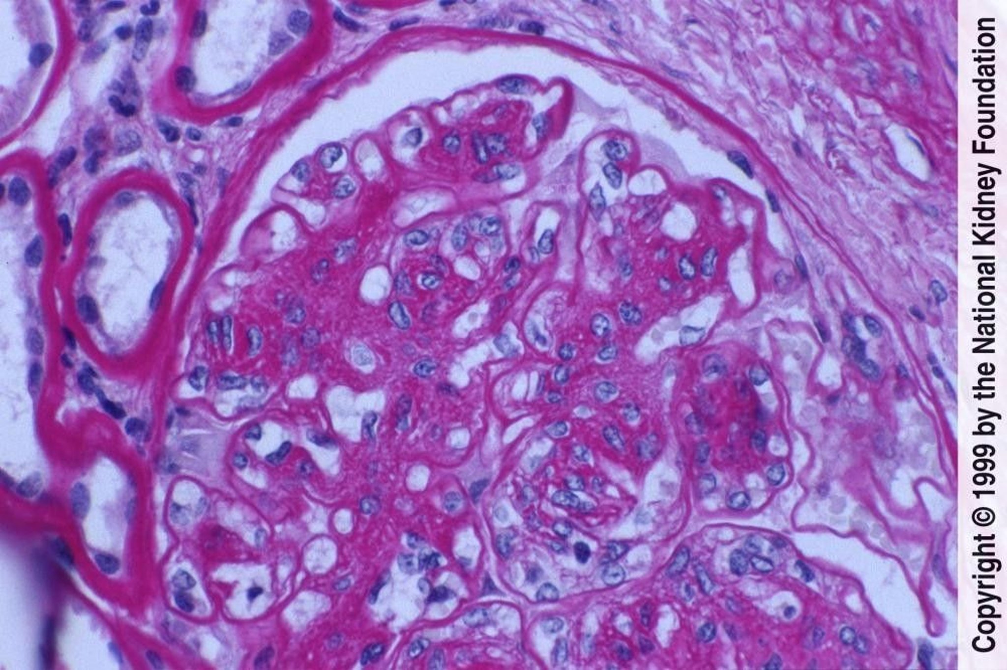
Diabetic Nephropathy (Mesangial Cell Proliferation and Matrix Expansion)
Mesangial cell proliferation and matrix expansion with endothelial damage are manifest here as thickened glomerular basement membranes without evident immune complex deposits (periodic acid-Schiff stain, ×400).
Image provided by Agnes Fogo, MD, and the American Journal of Kidney Diseases' Atlas of Renal Pathology (see www.ajkd.org).
In these topics
