Epidural Hematoma

Epidural Hematoma

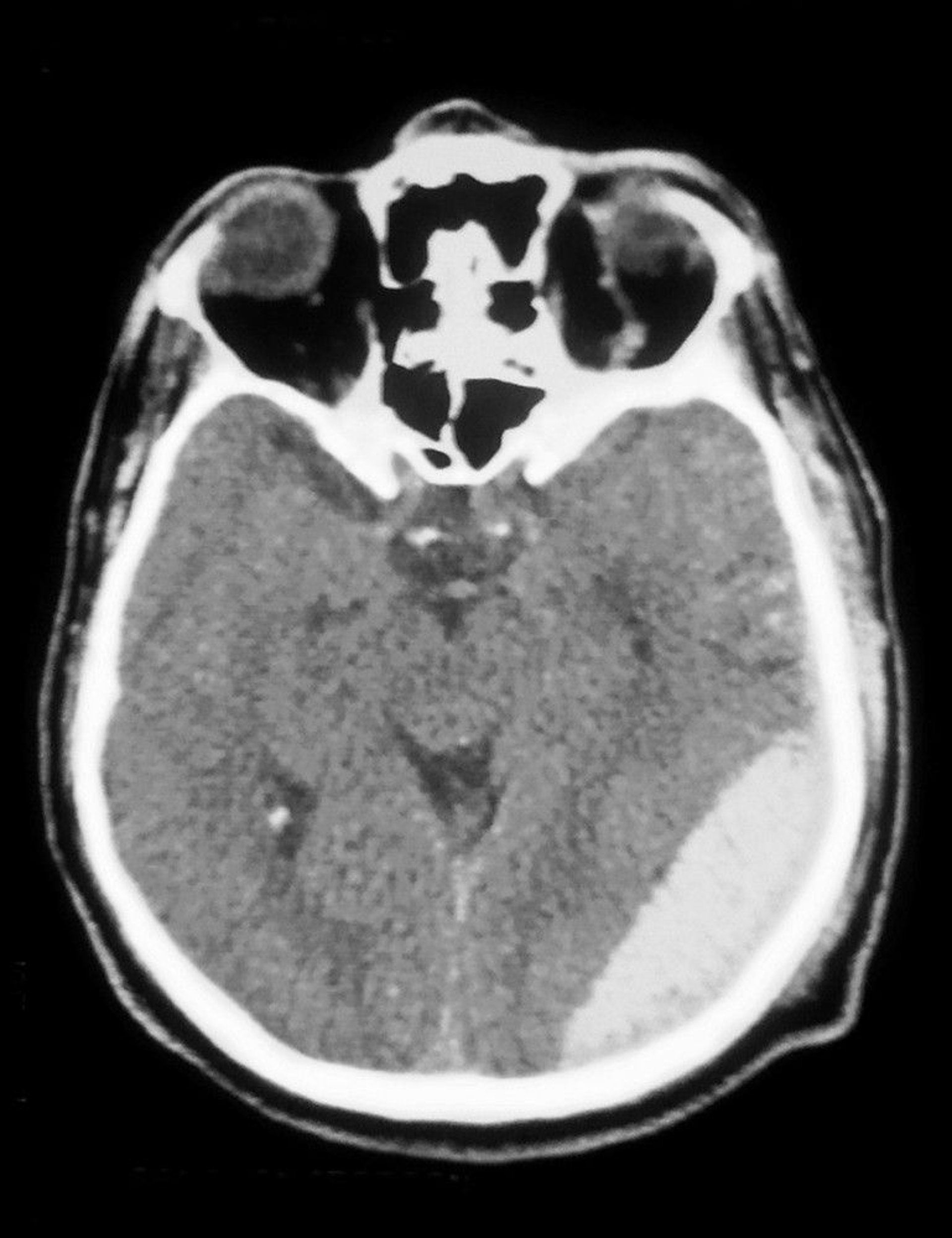
CT scan shows an epidural hematoma (opacity at bottom right).

Cavallini James/BSIP/SCIENCE PHOTO LIBRARY