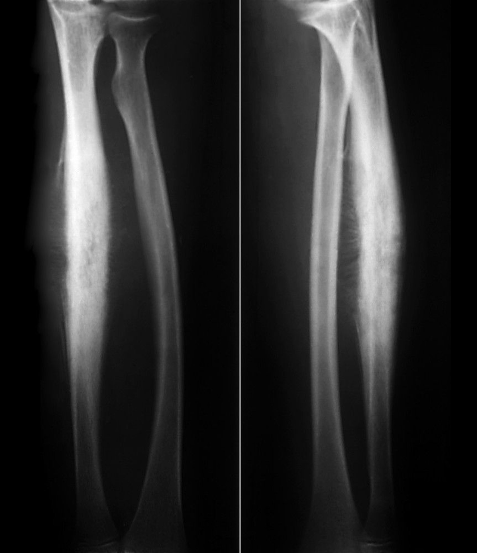
Ewing Sarcoma of the Radius
This Ewing sarcoma of the radial shaft shows subperiosteal reactive new bone formation in a classic "sunburst" periosteal reaction along with lytic destruction of cortical bone.
ZEPHYR/SCIENCE PHOTO LIBRARY
In these topics
