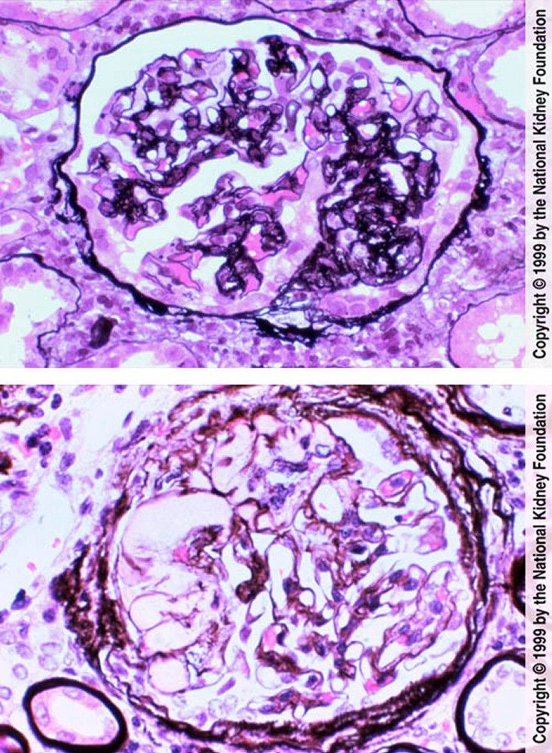
Focal Segmental Glomerulosclerosis
The top image shows the right side of the glomerulus. The glomerulus, which is segmentally sclerotic, is composed of obliterated capillary lumens and an increased amount of mesangial matrix. The rest of the glomerulus is normal (Jones silver stain, ×400). In the bottom image, hyalin, defined as smooth, glassy-appearing material, results from insudation (the opposite of exudation) of plasma proteins. It occurs frequently and is not diagnostic (Jones silver stain, ×400).
Image provided by Agnes Fogo, MD, and the American Journal of Kidney Diseases' Atlas of Renal Pathology (see www.ajkd.org).
In these topics
