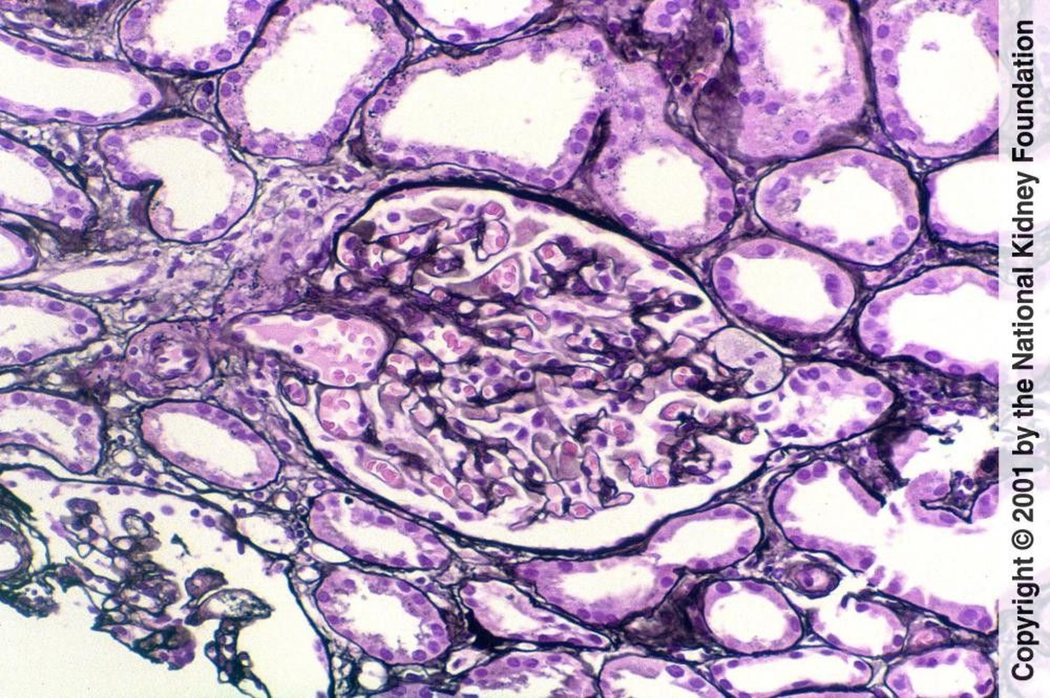
Focal Segmental Glomerulosclerosis (Tip Lesion)
A tip lesion is segmental sclerosis localized to the glomerular pole where the tubule originates. It may be a marker of improved prognosis (Jones silver stain, ×200).
Image provided by Agnes Fogo, MD, and the American Journal of Kidney Diseases' Atlas of Renal Pathology (see www.ajkd.org).
In these topics
