honeypot link
skip to main content
Professional
Consumer
Merck Manual
Professional Version
MEDICAL TOPICS
RESOURCES
DRUG INFO
COMMENTARY
PROCEDURES
QUIZZES
ABOUT US
MEDICAL TOPICS
RESOURCES
<
Images
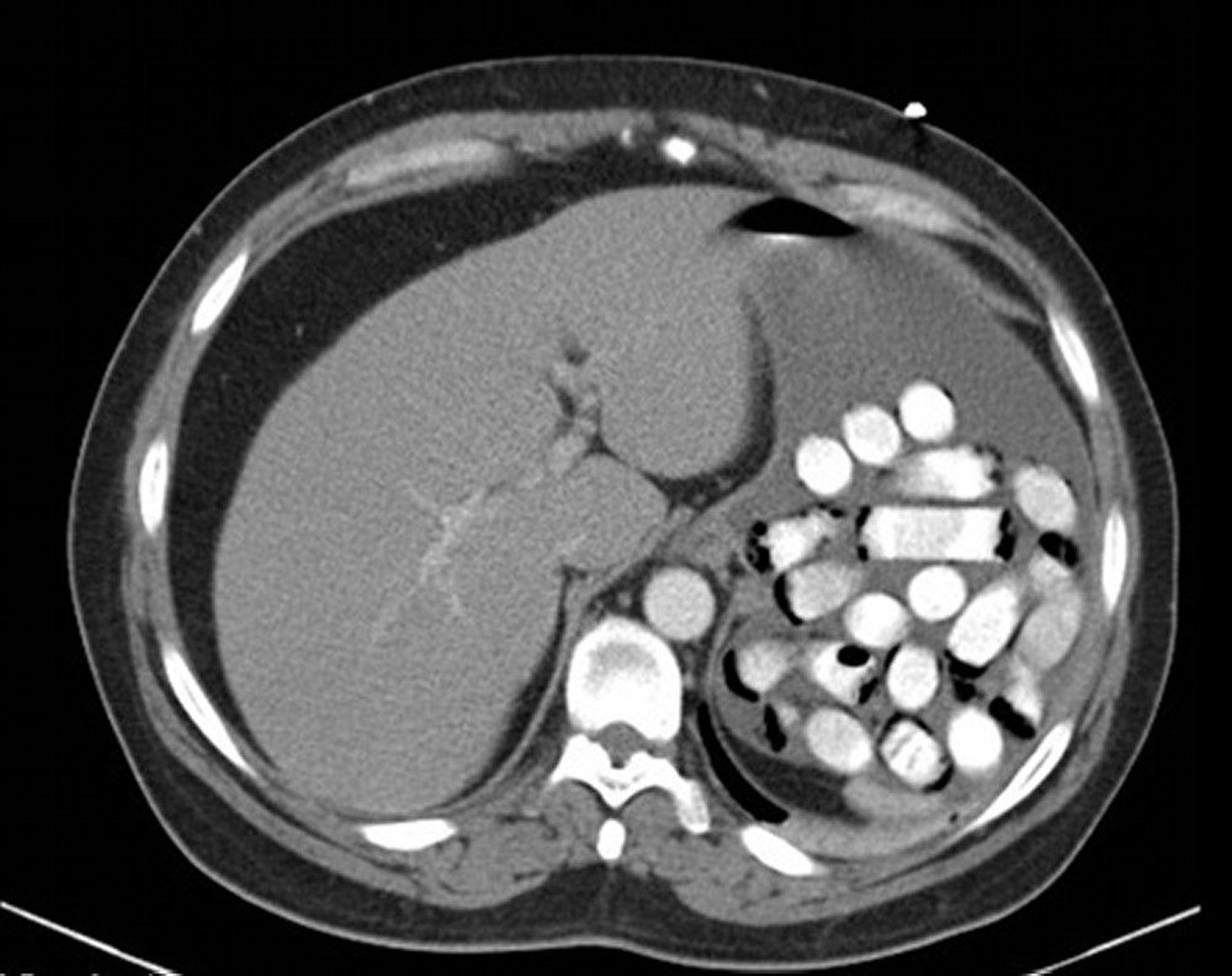
Gastric Foreign Body (CT Scan)
This image shows drug packets in the stomach.
Image provided by Alan Gingold, DO.
In these topics
Gastric and Intestinal Foreign Bodies
>