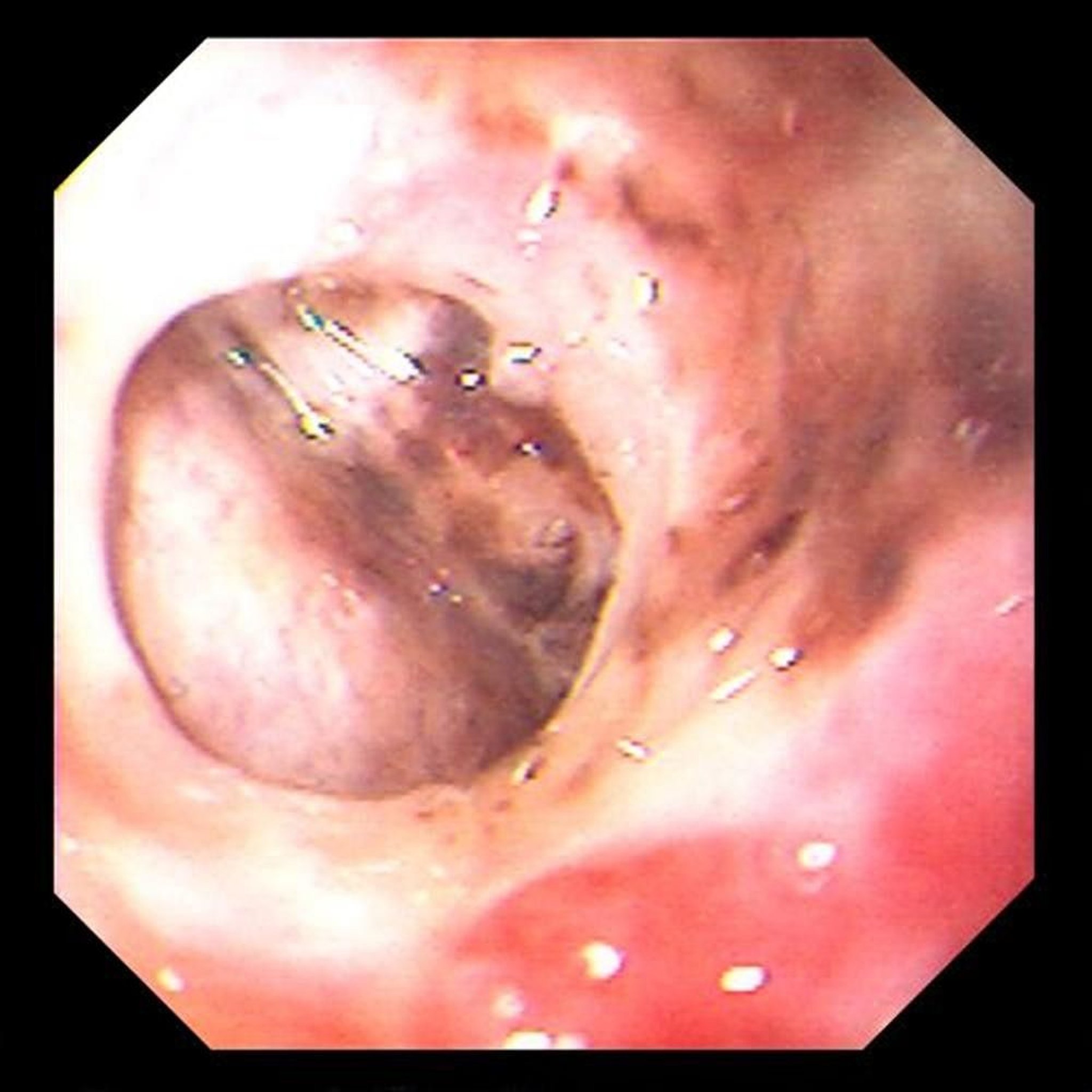
Gastric Ulcer Perforation
This image shows chronic, confined, gastric ulcer perforation through which the liver is visible.
Image provided by David M. Martin, MD.
In these topics
This image shows chronic, confined, gastric ulcer perforation through which the liver is visible.
Image provided by David M. Martin, MD.