Granulomatosis with Polyangiitis (Pulmonary Lesion)
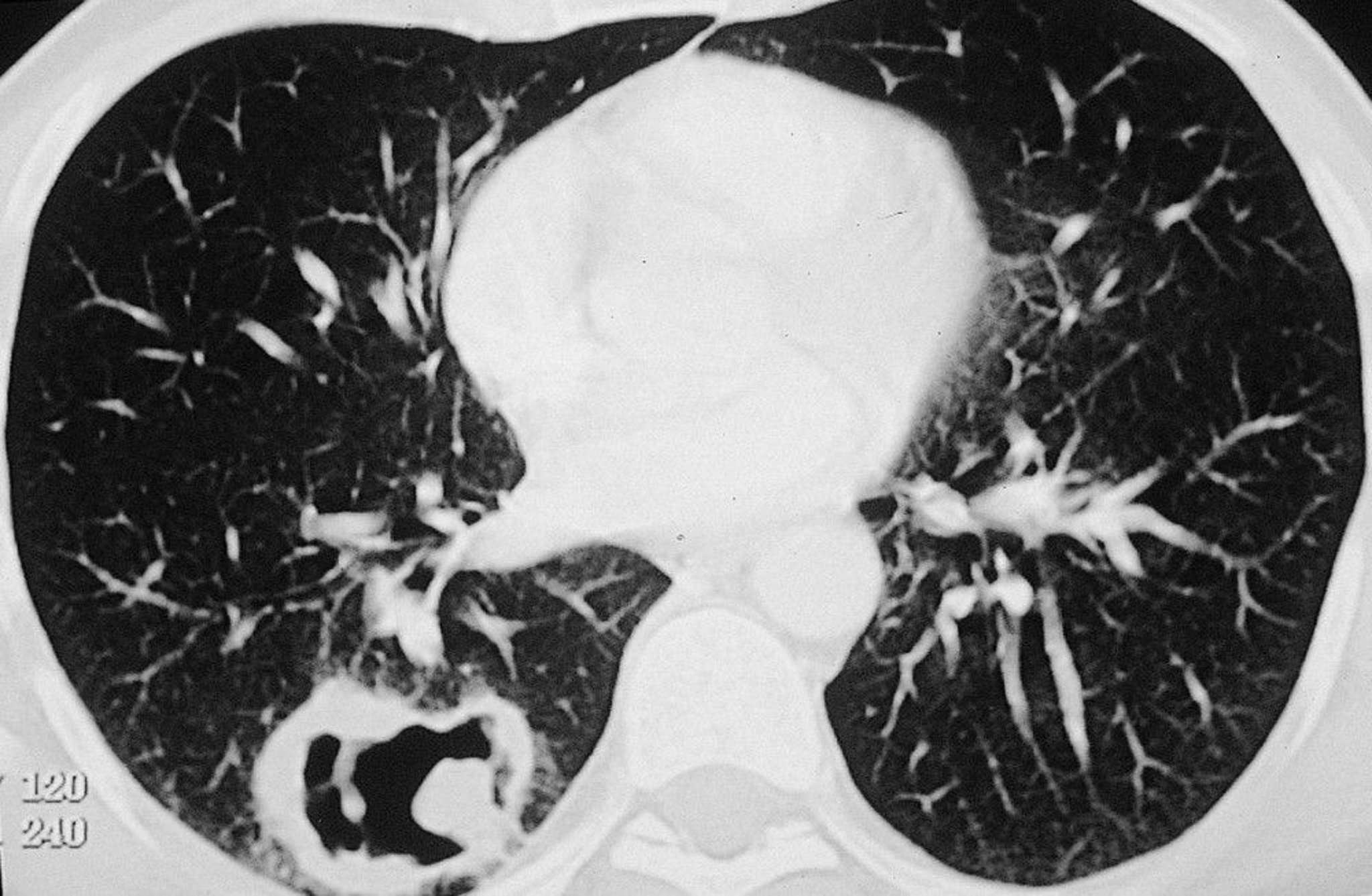
Large cavitary lesion in right lung in a patient with granulomatosis with polyangiitis (GPA).
© Springer Science+Business Media
In these topics
Large cavitary lesion in right lung in a patient with granulomatosis with polyangiitis (GPA).
© Springer Science+Business Media