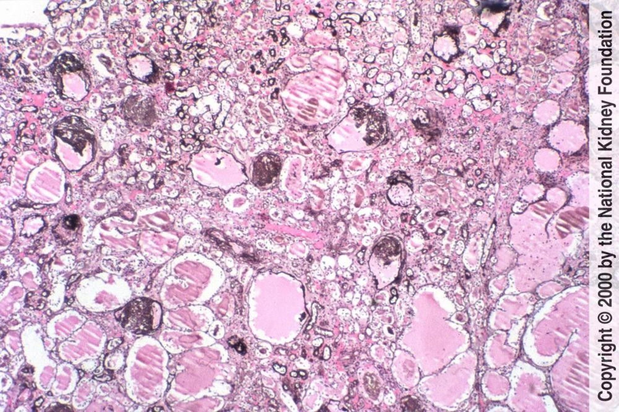
HIV-Associated Nephropathy (Collapsing Glomerulopathy)
Focal segmental glomerulosclerosis with collapse of glomerular tufts and microcystic tubular changes is characteristic of HIV-associated nephropathy (Jones silver stain, ×100).
Image provided by Agnes Fogo, MD, and the American Journal of Kidney Diseases' Atlas of Renal Pathology (see www.ajkd.org).
In these topics
