Hodgkin Lymphoma (Mediastinal Lymphadenopathy)
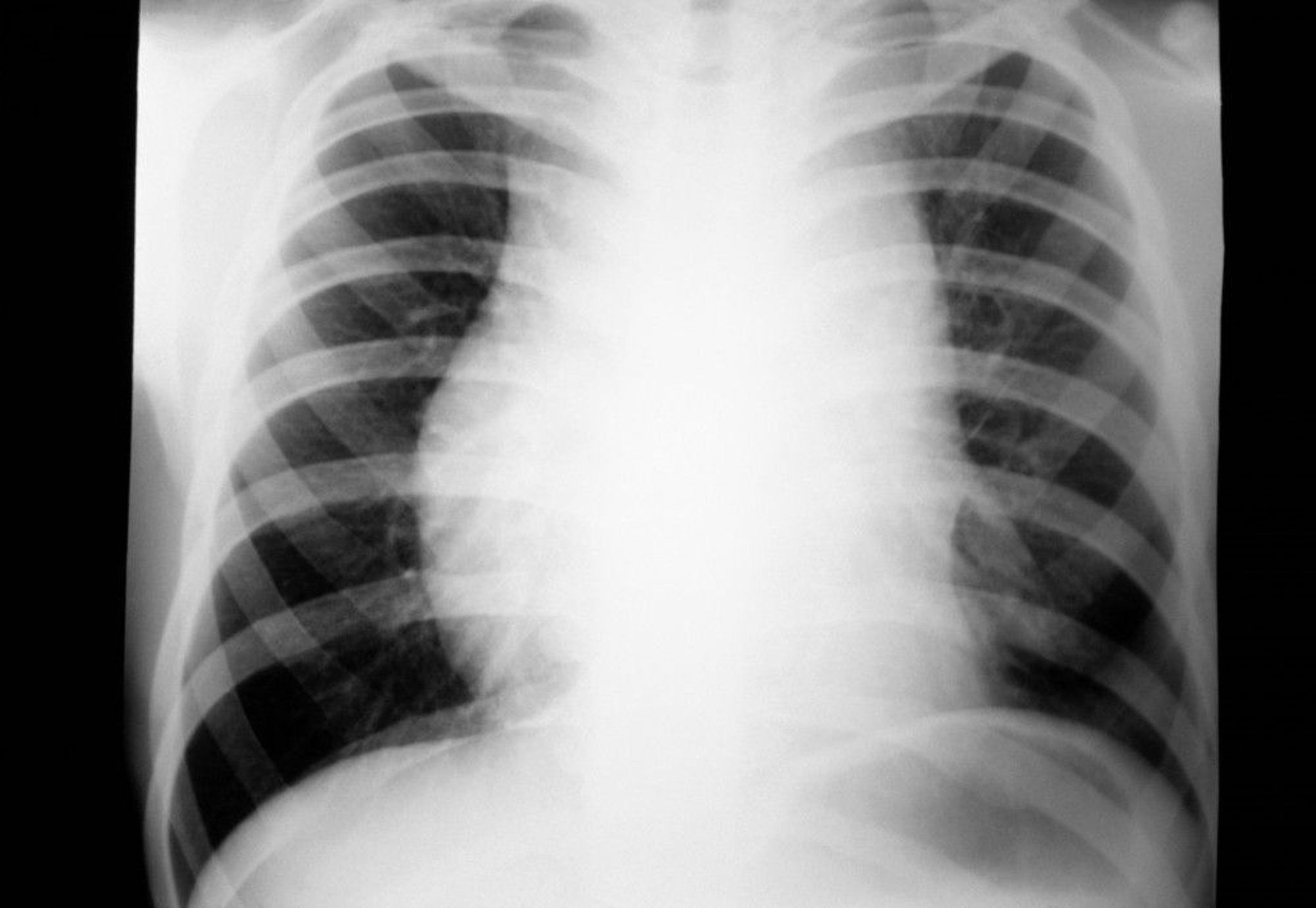
Chest radiograph of a patient with Hodgkin lymphoma showing mediastinal lymphadenopathy.
DR P. MARAZZI/SCIENCE PHOTO LIBRARY
In these topics
Chest radiograph of a patient with Hodgkin lymphoma showing mediastinal lymphadenopathy.
DR P. MARAZZI/SCIENCE PHOTO LIBRARY