Intracerebral Hemorrhage
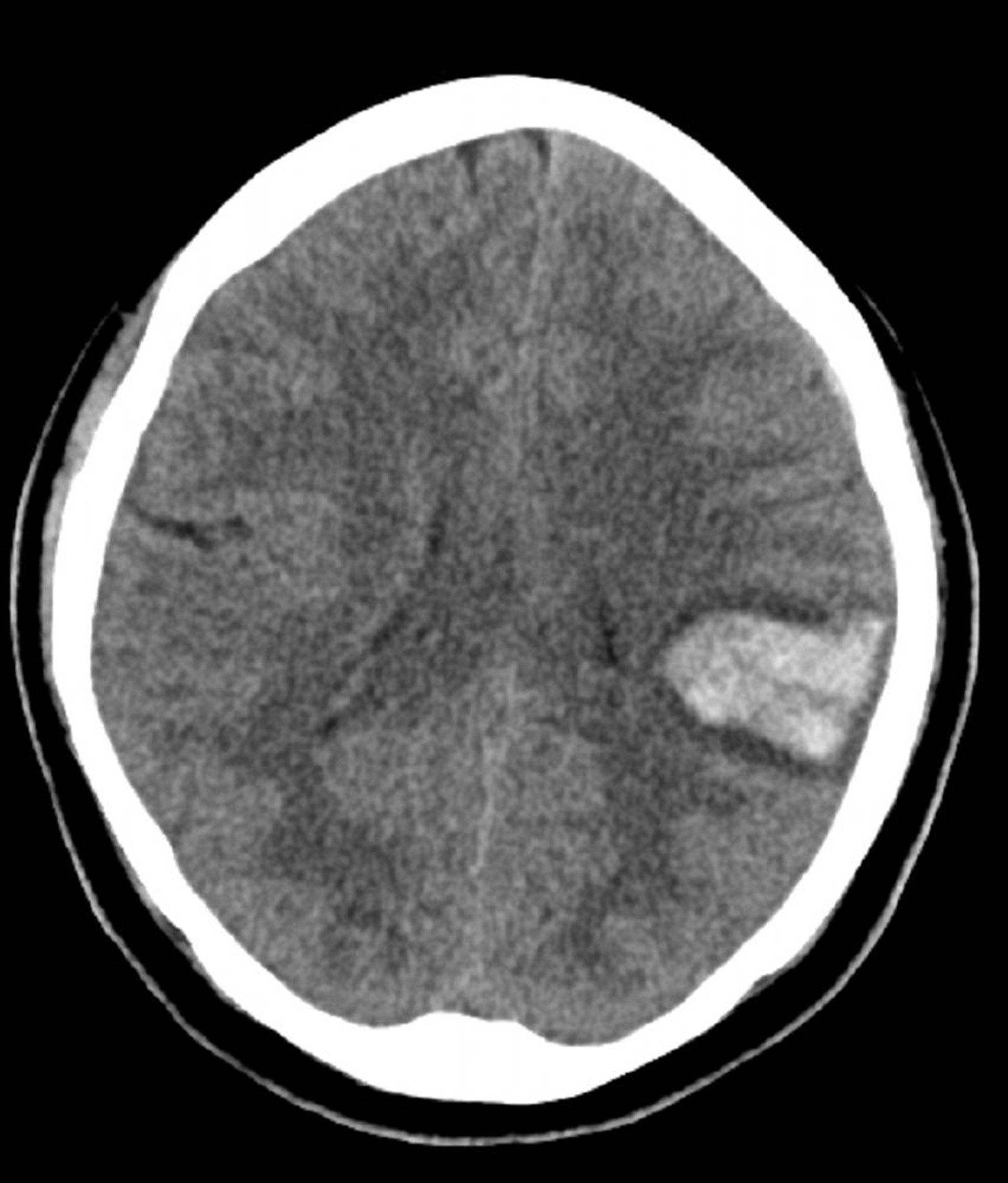
Increased density in the left brain seen on this noncontrast CT is consistent with intracerebral hemorrhage.
© 2017 Elliot K. Fishman, MD.
In these topics
Increased density in the left brain seen on this noncontrast CT is consistent with intracerebral hemorrhage.
© 2017 Elliot K. Fishman, MD.