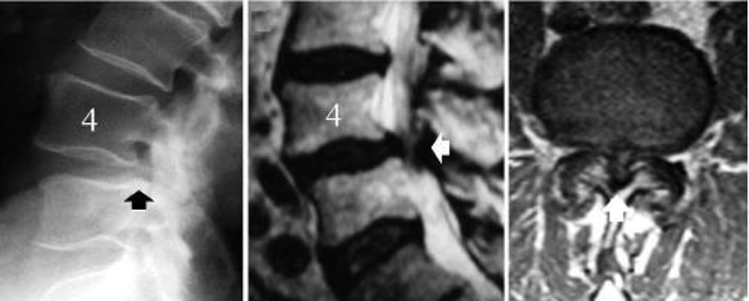
Lumbar Spinal Stenosis Caused by Degenerative Spondylolisthesis of L4-L5
The image on the left is a lateral radiograph of the lumbar spine showing slipping of the L4 vertebra (black arrow—the posterior border of the L5 vertebral body does not align with that of L4). The image in the middle is a midsagittal MRI scan showing compression of the neural structures (white arrow). The image on the right is an axial MRI scan showing severe spinal stenosis at the level of the degenerative spondylolisthesis, L4-5 (white arrow).
© Springer Science+Business Media
In these topics
