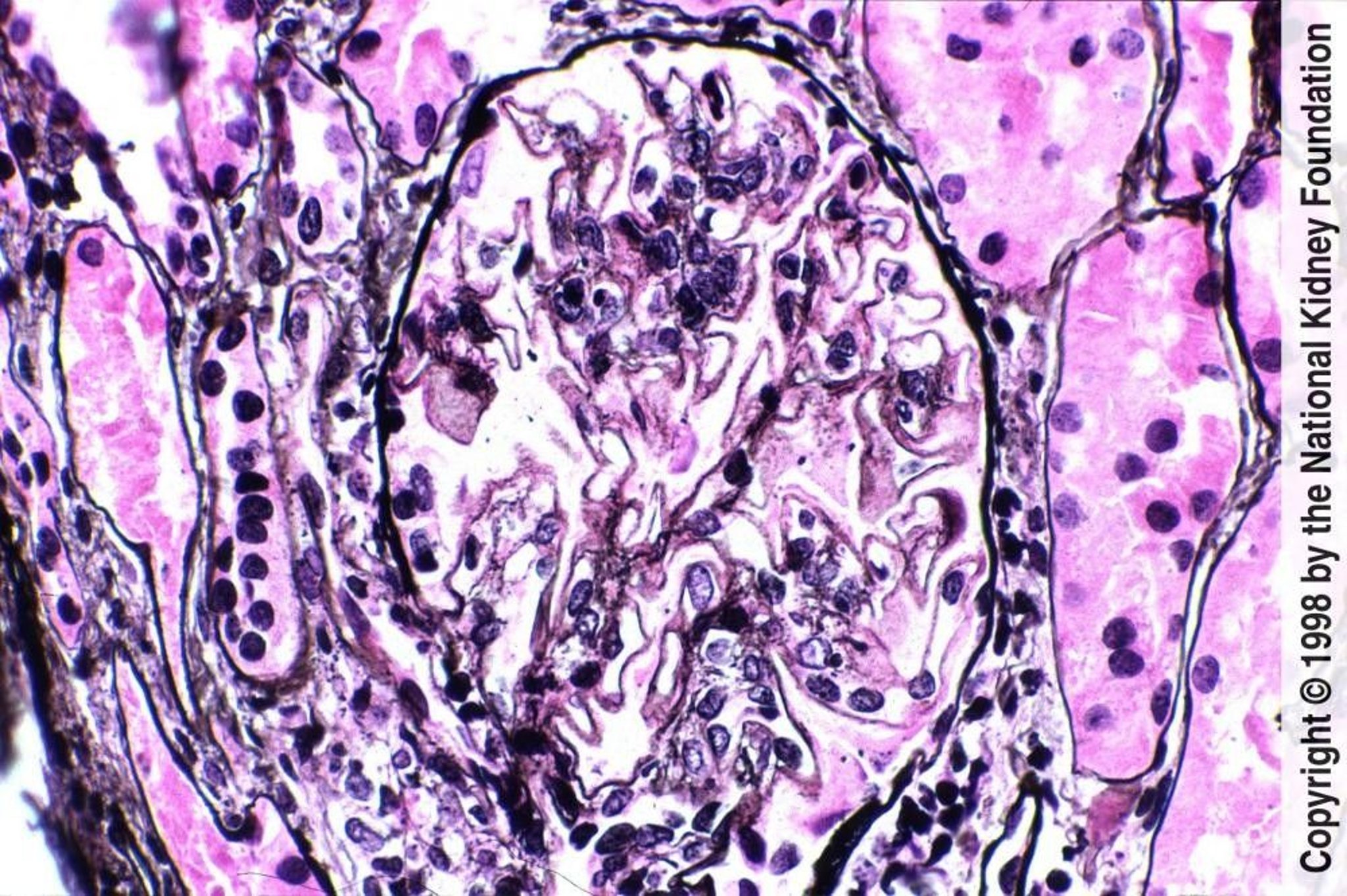
Lupus Nephritis—Membranous (Class V)
Diffuse holes, small spikes, and mild mesangial expansion with small areas of pink staining indicate mesangial immune complex deposits (Jones silver stain, ×400).
Image provided by Agnes Fogo, MD, and the American Journal of Kidney Diseases' Atlas of Renal Pathology (see www.ajkd.org).
In these topics
