Lymphoma of Bone
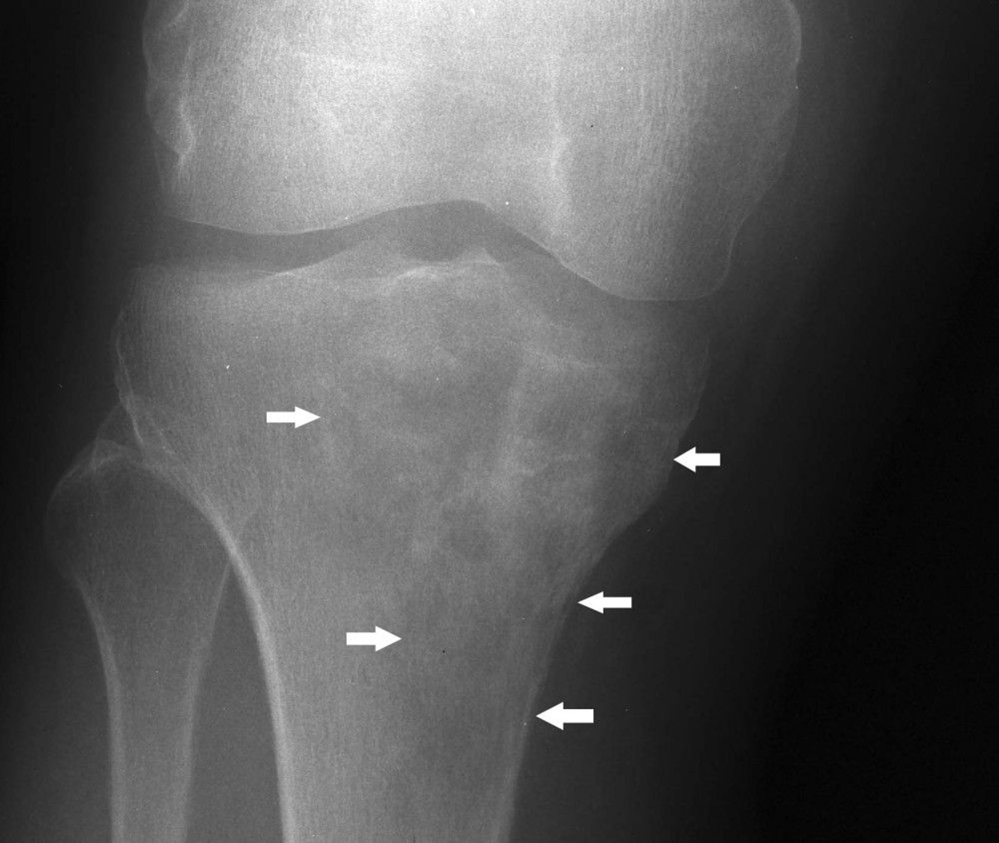
This knee radiograph shows lymphoma in the proximal tibia with a mixed lytic and sclerotic appearance below the medial tibial condyle (arrows).
Image courtesy of Michael J. Joyce, MD, and Hakan Ilaslan, MD.
In these topics
This knee radiograph shows lymphoma in the proximal tibia with a mixed lytic and sclerotic appearance below the medial tibial condyle (arrows).
Image courtesy of Michael J. Joyce, MD, and Hakan Ilaslan, MD.