Malocclusion
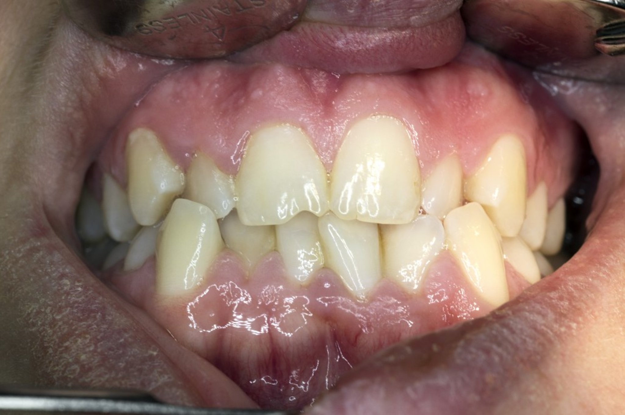
This photo shows misalignment between upper and lower teeth as the jaw is closed.
DR ARMEN TARANYAN/SCIENCE PHOTO LIBRARY
In these topics
This photo shows misalignment between upper and lower teeth as the jaw is closed.
DR ARMEN TARANYAN/SCIENCE PHOTO LIBRARY