Membranoproliferative Glomerulonephritis, Complement-Mediated
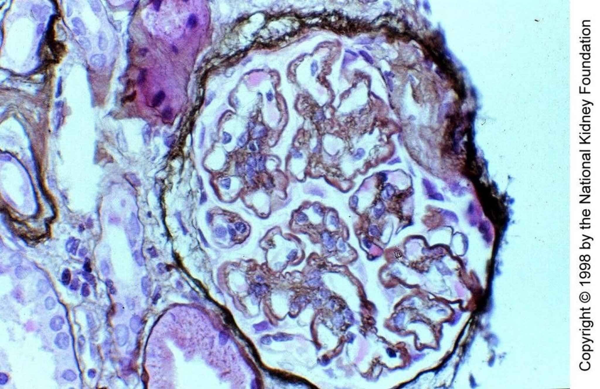
In complement-mediated membranoproliferative glomerulonephritis (MPGN) type II, C3 nephritic factor, an IgG autoantibody which functions like properdin by directly cleaving C3 to C3b, activates complement via the alternative pathway within glomerular capillary walls and mesangium. C3 deposits partially replace the basement membrane lamina densa, giving it a thickened and distinctive ribbon appearance (Jones silver stain, ×400).
Image provided by Agnes Fogo, MD, and the American Journal of Kidney Diseases' Atlas of Renal Pathology (see www.ajkd.org).
In these topics
