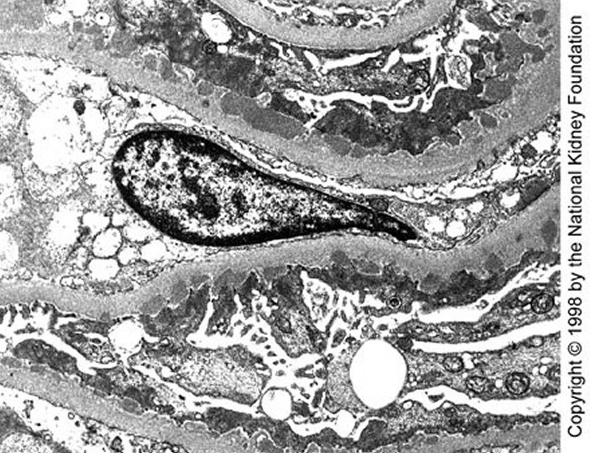
Membranous Nephropathy (Dense Deposits)
Medium-sized subepithelial dense deposits are seen on transmission electron microscopy in late stage I disease (×10,200).
Image provided by Agnes Fogo, MD, and the American Journal of Kidney Diseases' Atlas of Renal Pathology (see www.ajkd.org).
In these topics
