Miliary TB
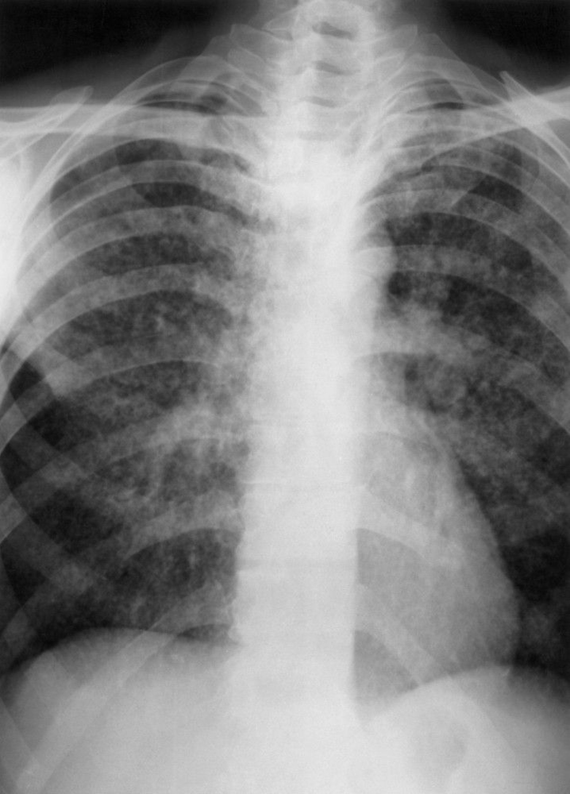
This chest x-ray show findings suggesting miliary tuberculosis (TB), including almost innumerable, tiny (eg, 2- to 3-mm), interstitial nodules distributed through both lungs.
BIOPHOTO ASSOCIATES/SCIENCE PHOTO LIBRARY
In these topics
This chest x-ray show findings suggesting miliary tuberculosis (TB), including almost innumerable, tiny (eg, 2- to 3-mm), interstitial nodules distributed through both lungs.
BIOPHOTO ASSOCIATES/SCIENCE PHOTO LIBRARY