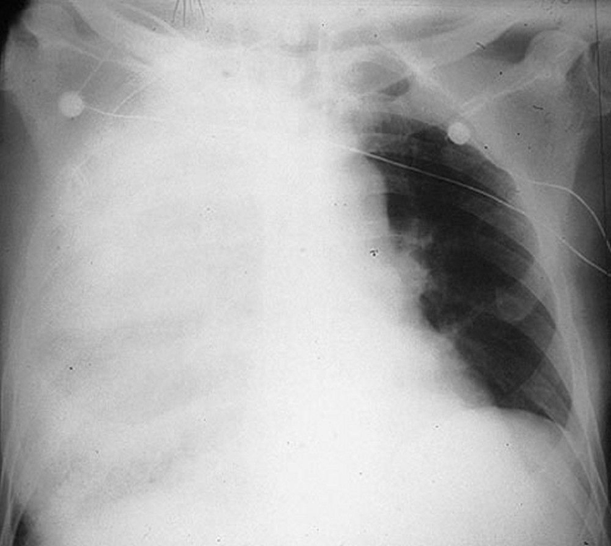
Multilobar Pneumonia
Consolidation of the right upper, middle, and lower lobes in a 64-year-old male with pneumococcal pneumonia.
By permission of the publisher. From Roberts R. In Atlas of Infectious Diseases: Pleuropulmonary and Bronchial Infections. Edited by GL Mandell (series editor) and MS Simberkoff. Philadelphia, Current Medicine, 1996.
In these topics
