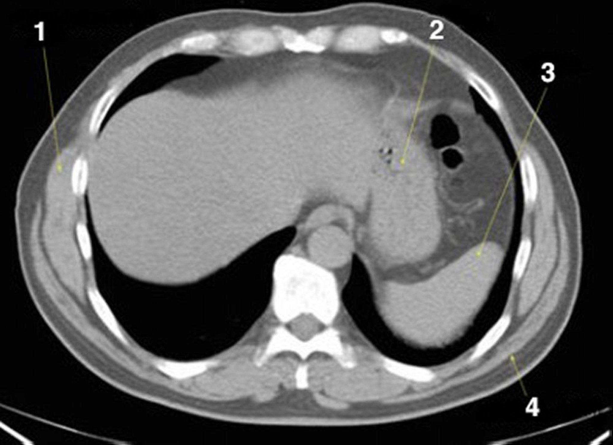
Noncontrast CT Scan of the Abdomen and Pelvis Showing Normal Anatomy (Slide 2)
1 = serratus anterior; 2 = stomach; 3 = spleen; 4 = latissimus dorsi.
© Springer Science+Business Media
In these topics
1 = serratus anterior; 2 = stomach; 3 = spleen; 4 = latissimus dorsi.
© Springer Science+Business Media