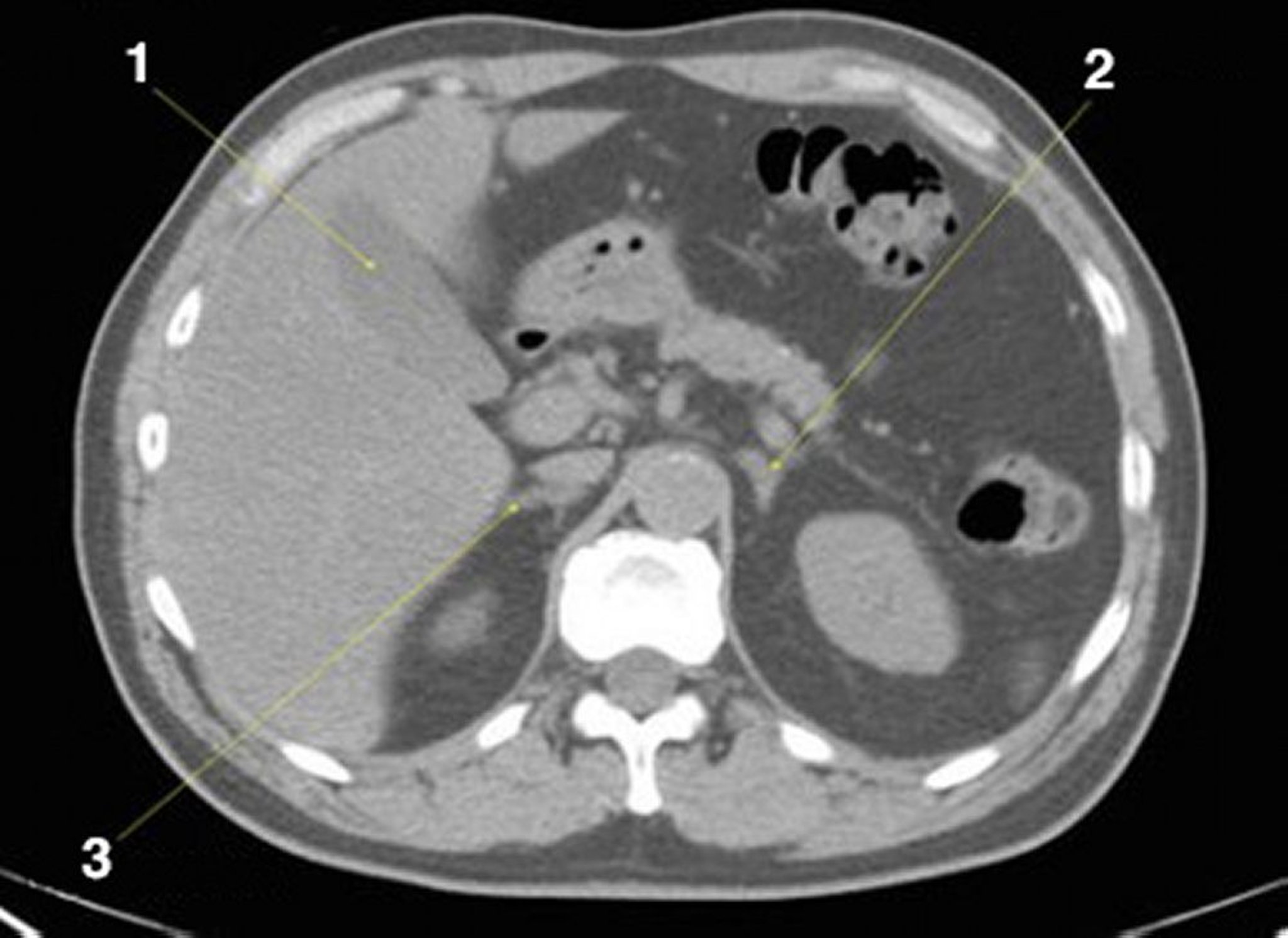
Noncontrast CT Scan of the Abdomen and Pelvis Showing Normal Anatomy (Slide 8)
1 = gallbladder; 2 = left adrenal gland; 3 = right adrenal gland.
© Springer Science+Business Media
In these topics
1 = gallbladder; 2 = left adrenal gland; 3 = right adrenal gland.
© Springer Science+Business Media