Oral Warts
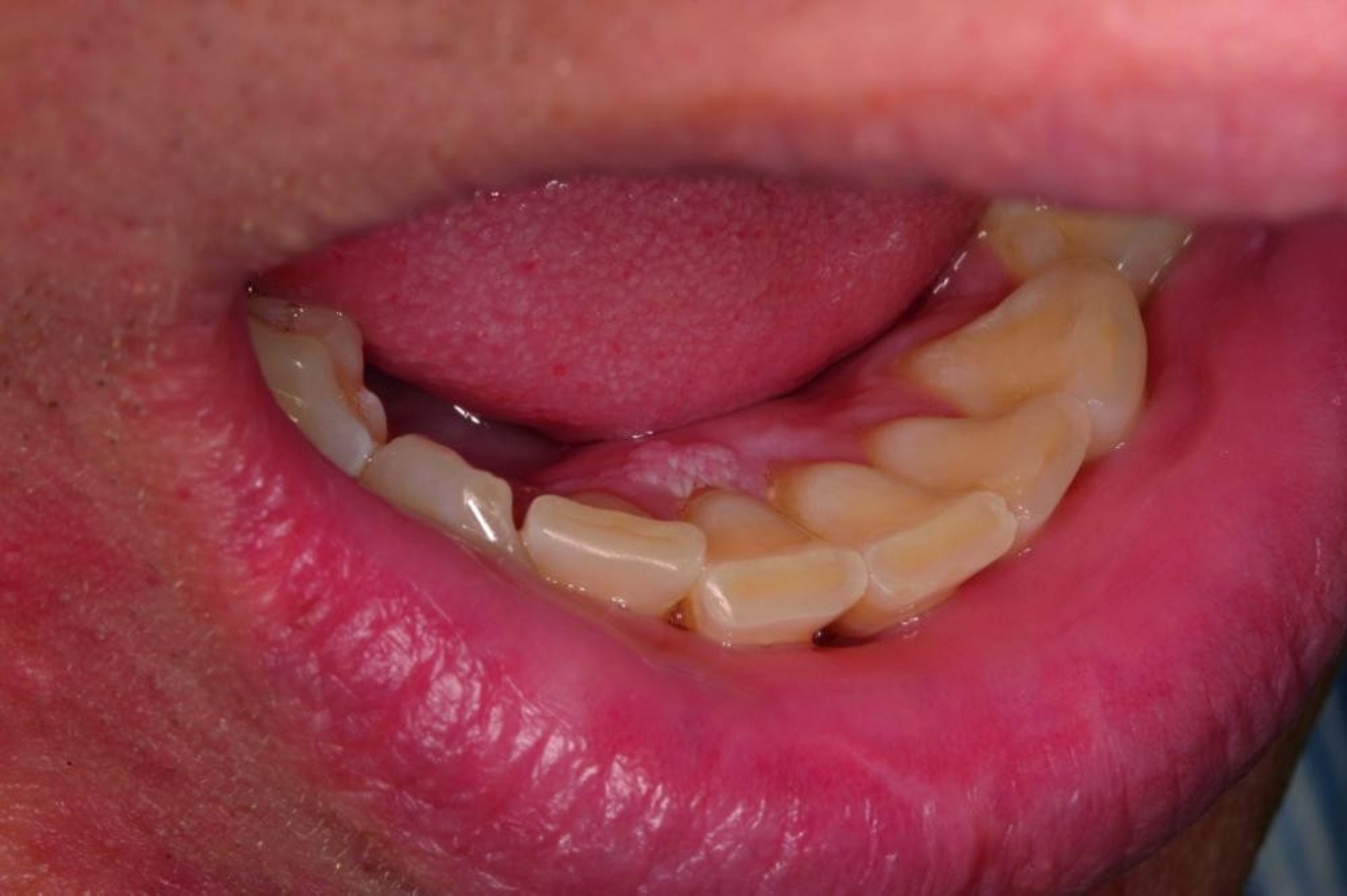
Verruca vulgaris (wart) of the anterior lingual gingiva. The lesion is whiter than surrounding tissue with prominent hairlike projections.
© Springer Science+Business Media
In these topics
Verruca vulgaris (wart) of the anterior lingual gingiva. The lesion is whiter than surrounding tissue with prominent hairlike projections.
© Springer Science+Business Media