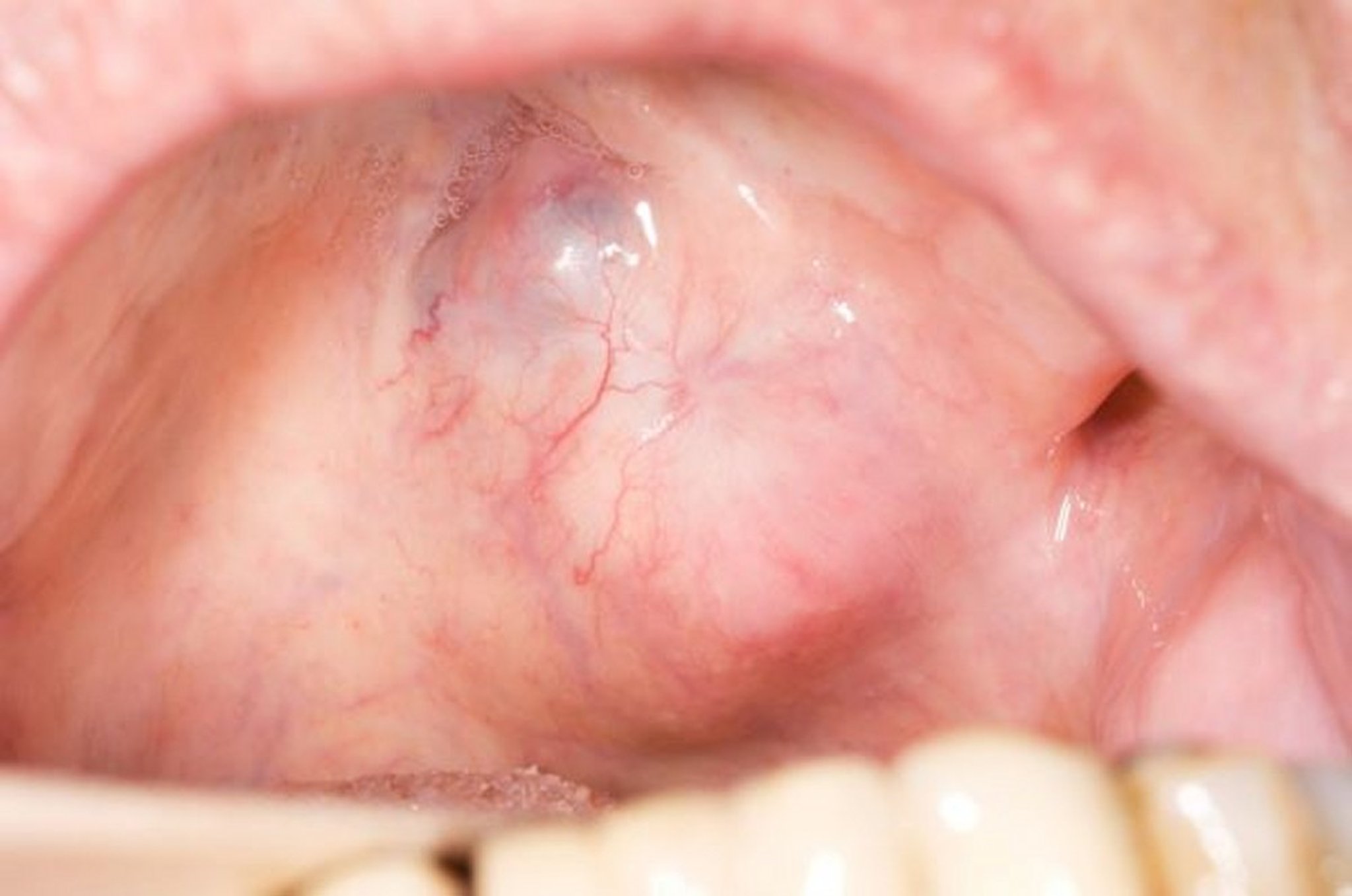
Palatal Salivary Gland Pleomorphic Adenoma
Pleomorphic adenoma is the most common intraoral benign neoplasm. The palatal mucosa is the most common site of occurrence.
DR. P. MARAZZI/SCIENCE PHOTO LIBRARY
In these topics
Pleomorphic adenoma is the most common intraoral benign neoplasm. The palatal mucosa is the most common site of occurrence.
DR. P. MARAZZI/SCIENCE PHOTO LIBRARY