Periodontitis
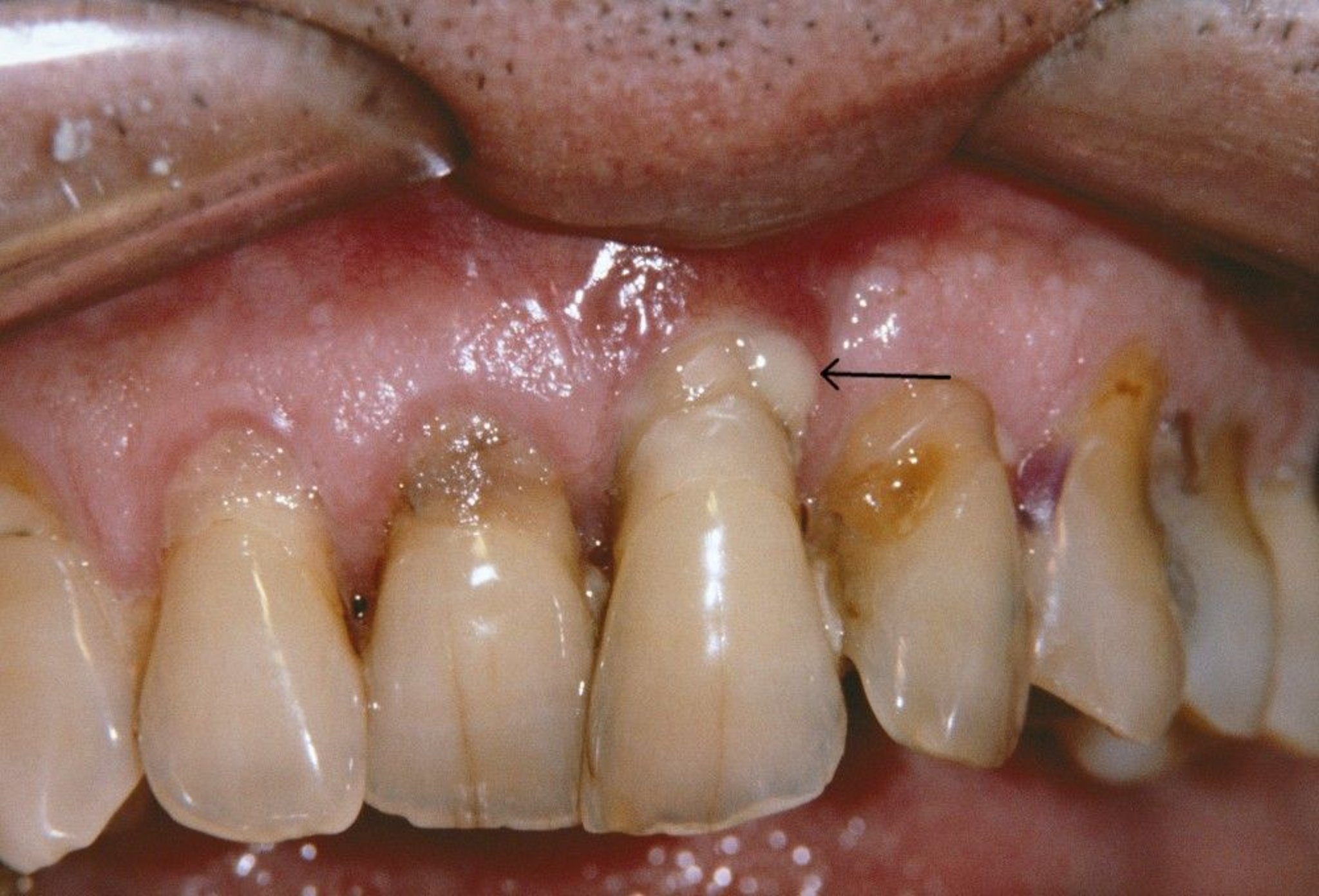
This photo shows receding gums and a periodontal abscess (arrow) in a person who has periodontitis.
CNRI/SCIENCE PHOTO LIBRARY
In these topics
This photo shows receding gums and a periodontal abscess (arrow) in a person who has periodontitis.
CNRI/SCIENCE PHOTO LIBRARY