Pituitary Microadenoma

Pituitary Microadenoma

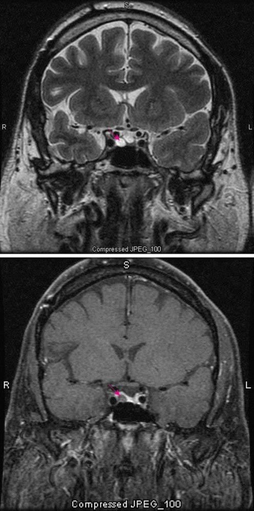
T2-weighted MRI scan (top) shows a pituitary microadenoma (red arrow). Contrast (bottom) normally enhances the pituitary (red arrow). The adenoma appears lighter.

Images courtesy of William R. Shapiro, MD.

In these topics