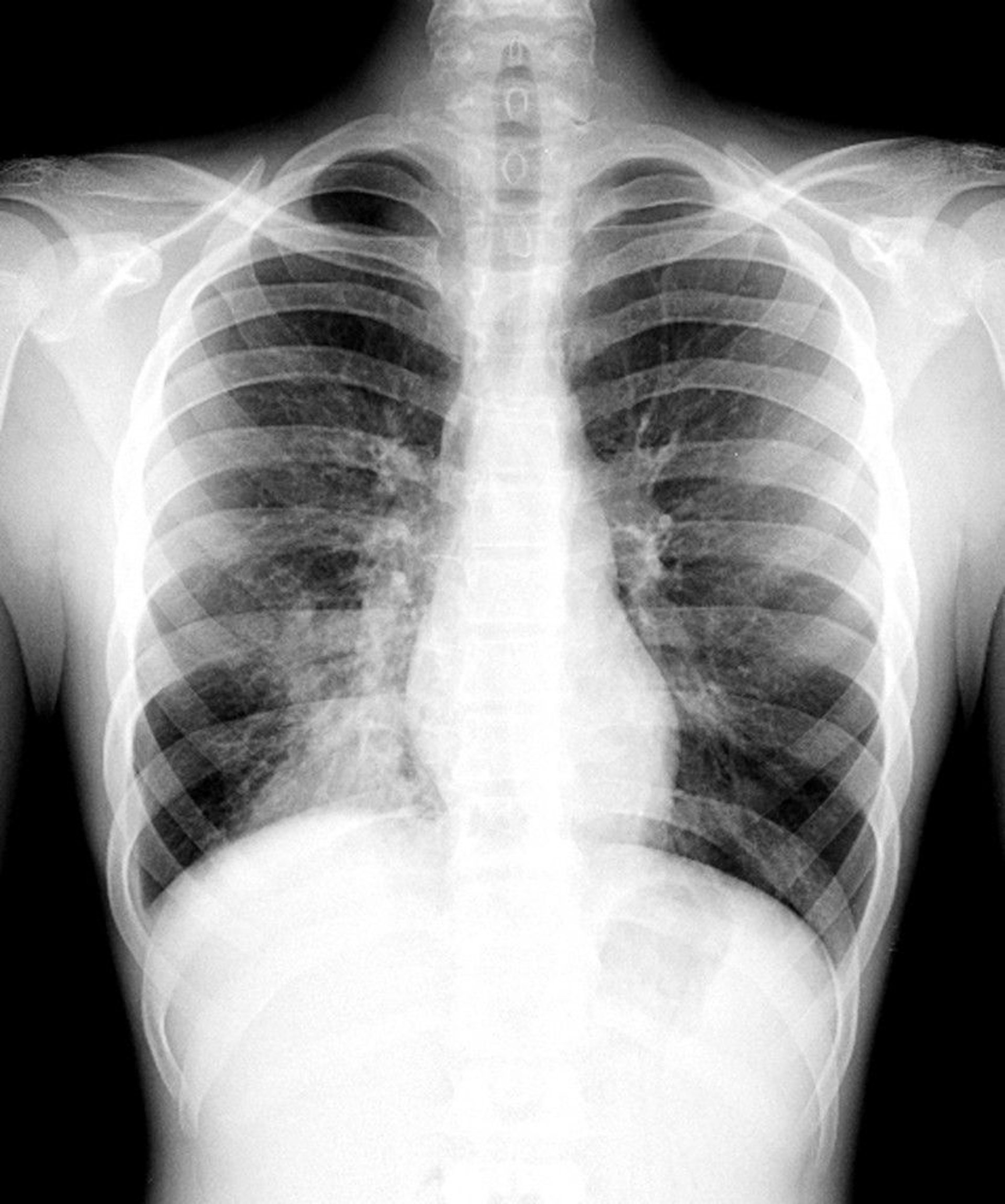
Pneumonia of the Right Lower Lobe
This chest x-ray shows an infiltrate that does not obscure the right heart border (ie, there is no silhouette sign). Because the silhouette sign develops when 2 contiguous structures have a similar radiodensity, the part of the lung affected by this infiltrate is the part not contiguous with the right heart border; that part is the right lower lobe.
LIVING ART ENTERPRISES, LLC/SCIENCE PHOTO LIBRARY
In these topics
