Sarcoidosis (Iris Granuloma)
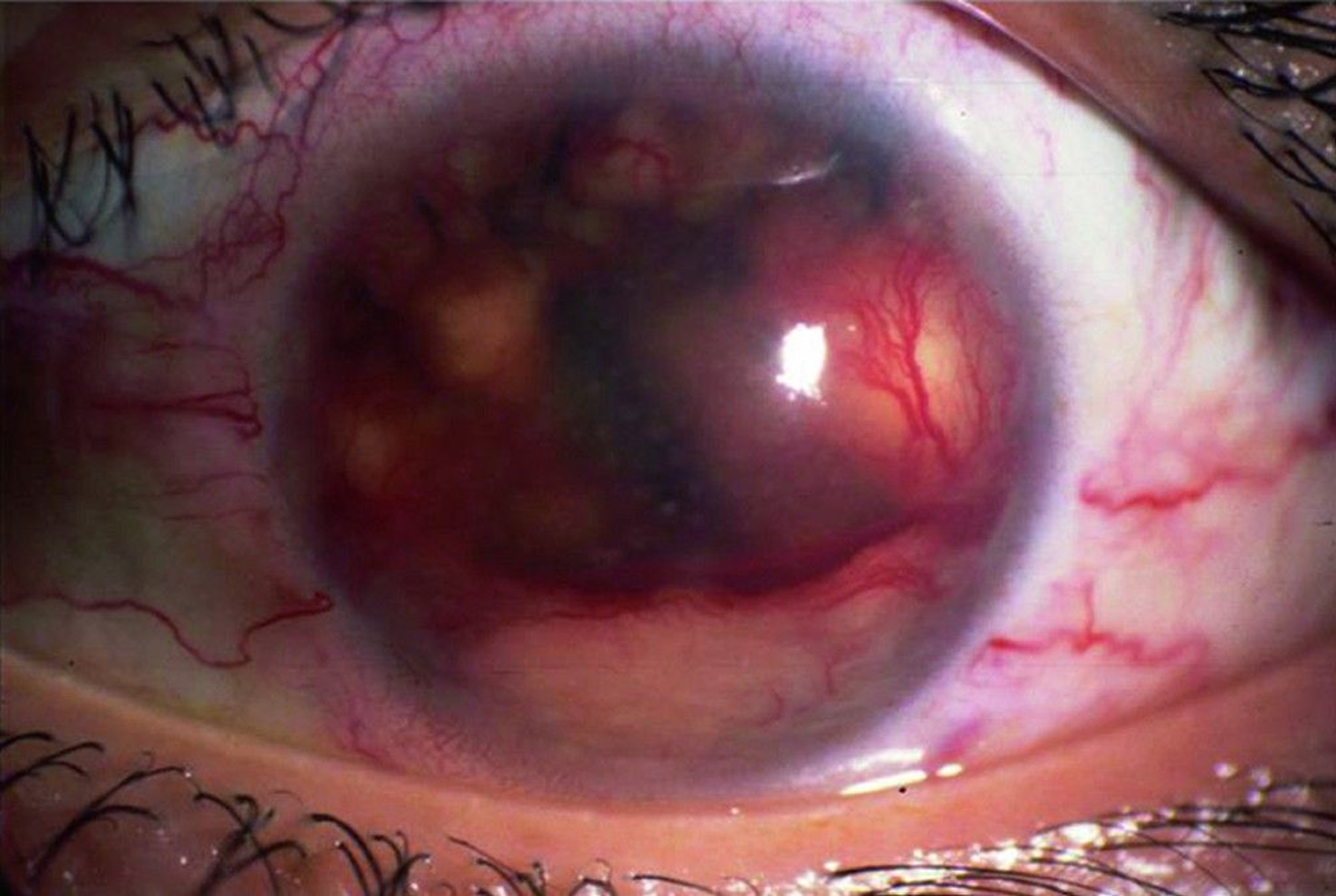
This photo shows iris granulomas (visible as white spots), which are also called papillary margin nodules or Koeppe nodules.
© Springer Science+Business Media
In these topics
This photo shows iris granulomas (visible as white spots), which are also called papillary margin nodules or Koeppe nodules.
© Springer Science+Business Media