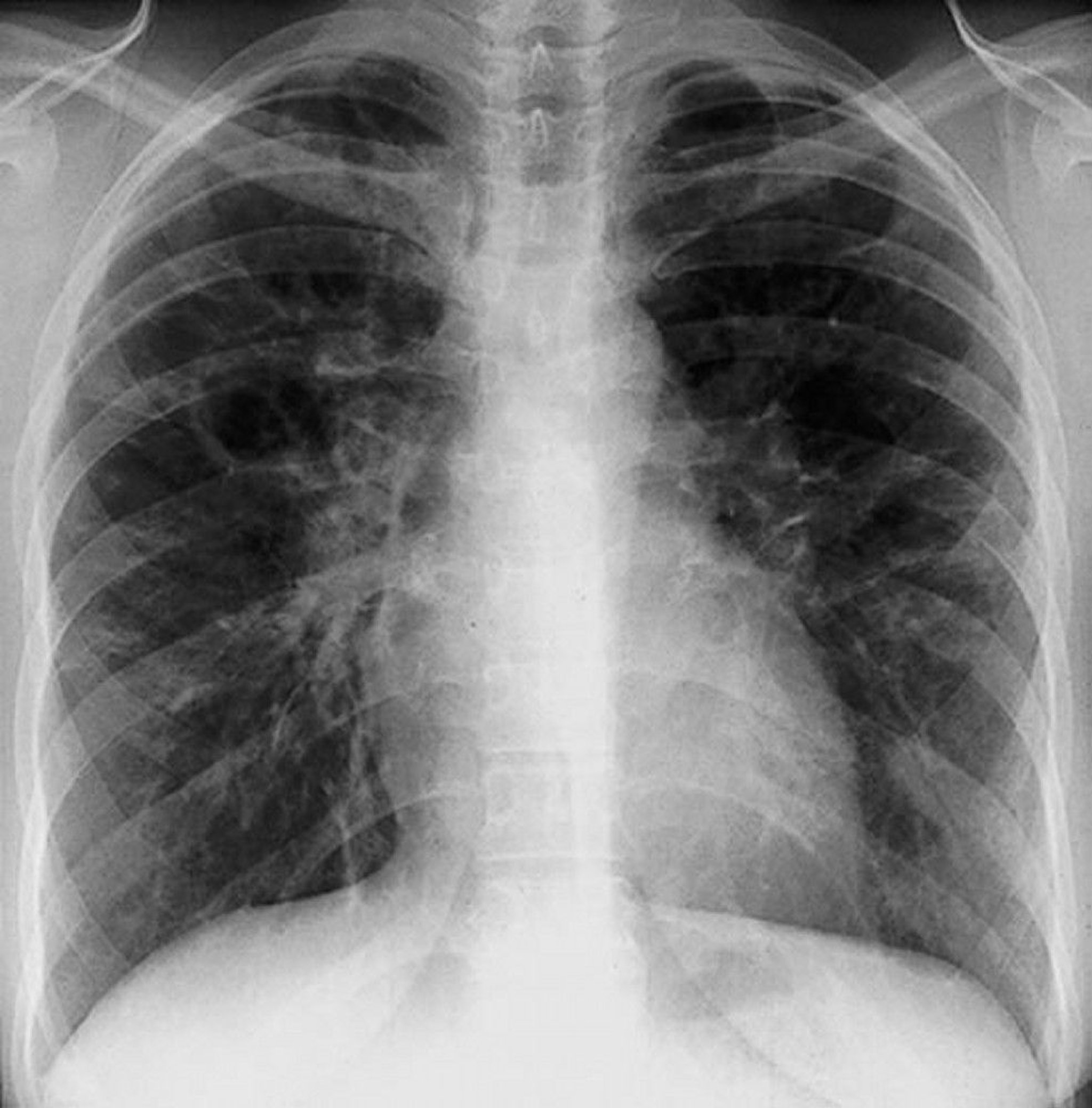
Sarcoidosis (Stage III)
Diffuse interstitial opacities without hilar adenopathy in stage III sarcoidosis.
By permission of the publisher. From Tanoue L, Elias J. In Bone's Atlas of Pulmonary and Critical Care Medicine. Edited by J Crapo. Philadelphia, Current Medicine, 2005.
In these topics
