Severe Pneumonia
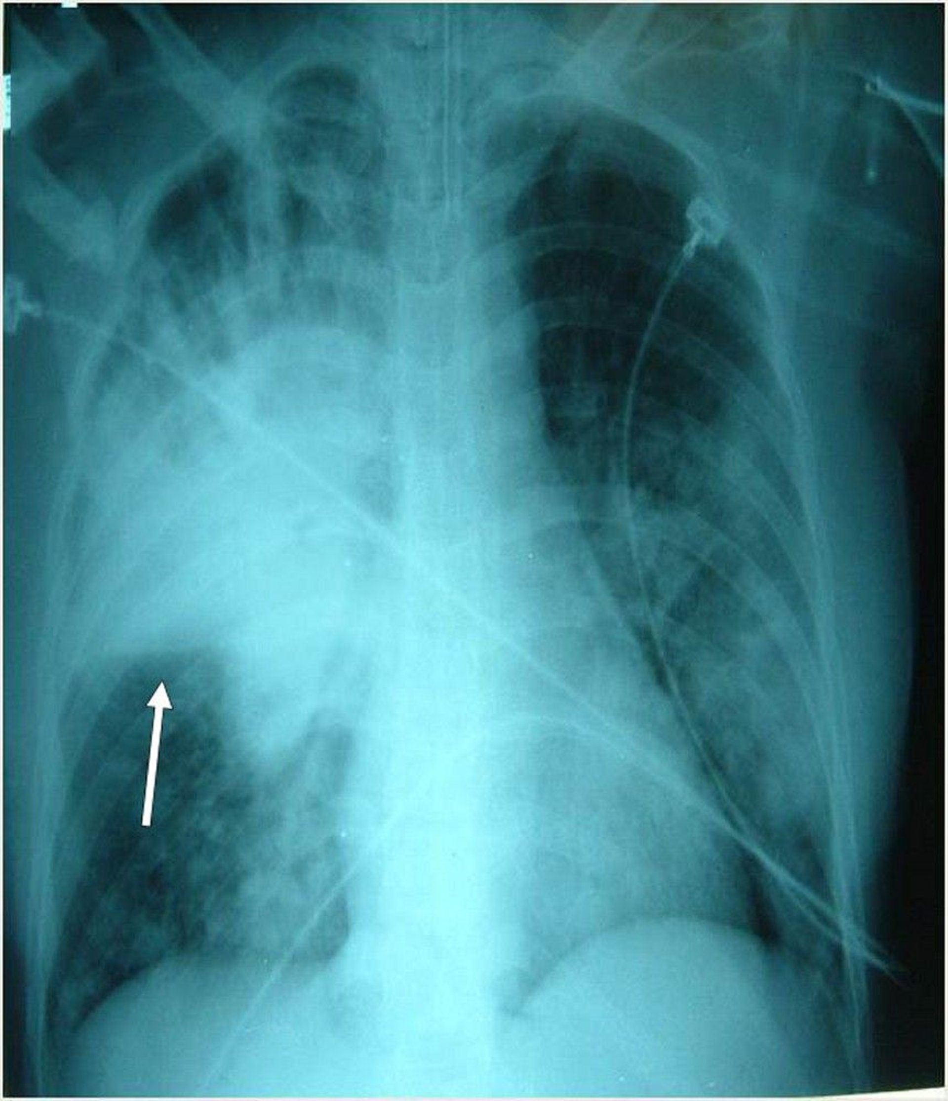
This intubated patient has multiple bilateral infiltrates, most prominently in the right upper lobe. Arrow indicates the right horizontal fissure.
Photo courtesy of Thomas M. File, Jr., MD MSc MACP FIDSA FCCP.
In these topics
This intubated patient has multiple bilateral infiltrates, most prominently in the right upper lobe. Arrow indicates the right horizontal fissure.
Photo courtesy of Thomas M. File, Jr., MD MSc MACP FIDSA FCCP.