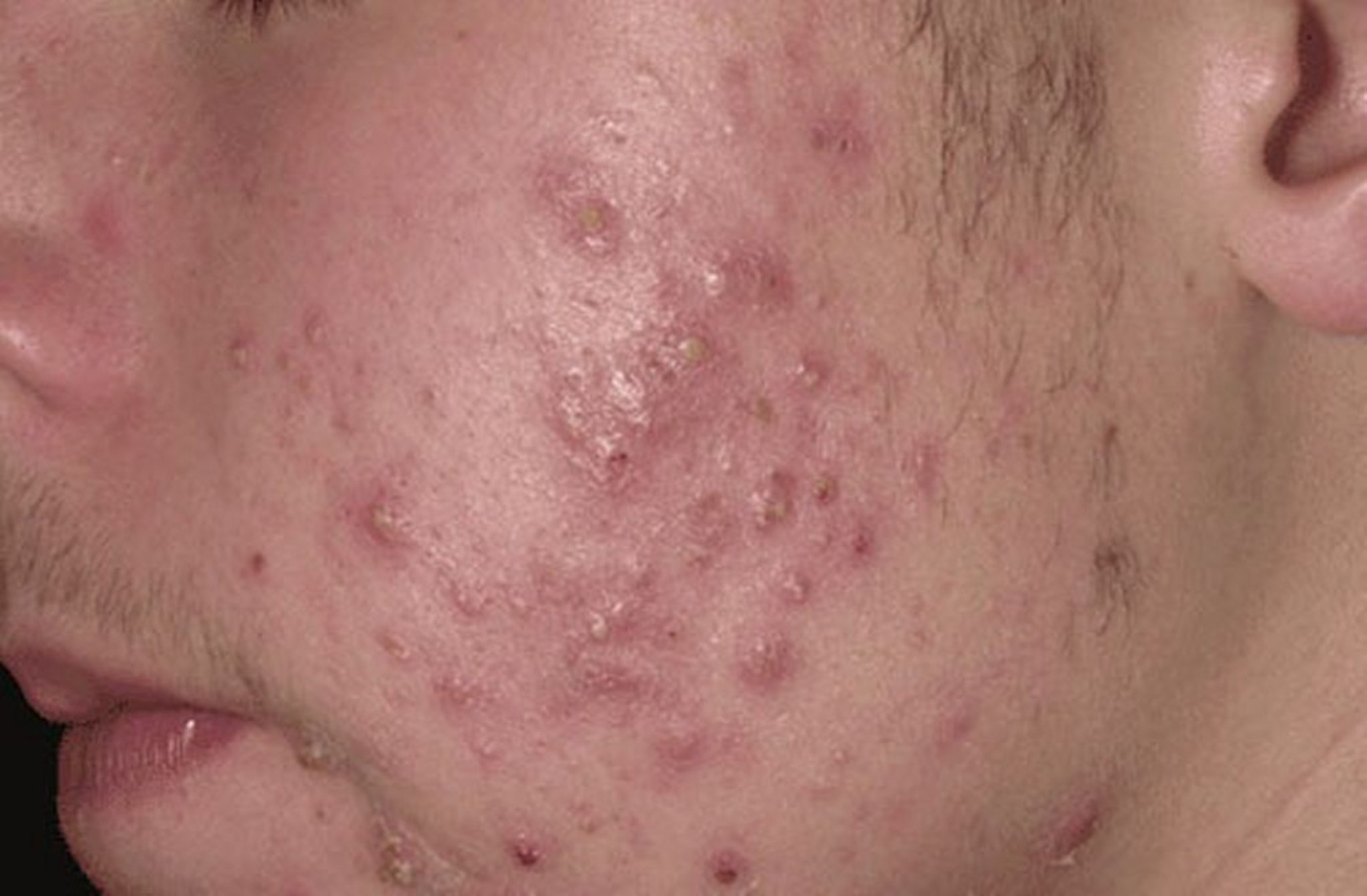
Skin Lesion (Pustule)
Pustules are elevated, usually yellow-topped lesions that contain pus. Scattered pustules appear on the face of this person with acne.
Photo provided by Thomas Habif, MD.
In these topics
Pustules are elevated, usually yellow-topped lesions that contain pus. Scattered pustules appear on the face of this person with acne.
Photo provided by Thomas Habif, MD.