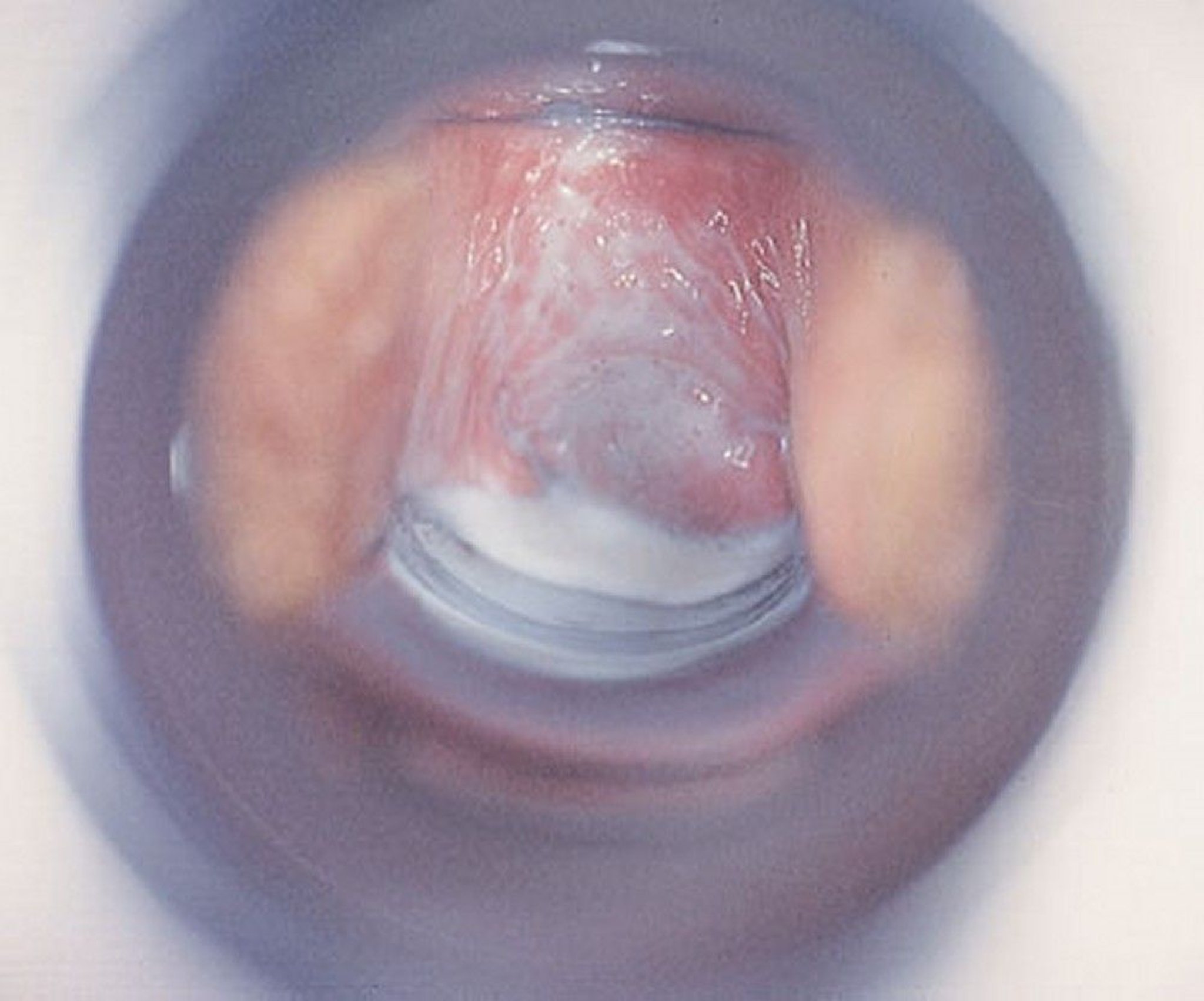
Speculum Examination in Bacterial Vaginosis
Bacterial vaginosis has a characteristic gray discharge.
By permission of the publisher. From Spitzer M, Mann M. In Atlas of Clinical Gynecology: Gynecologic Pathology. Edited by M Stenchever (series editor) and B Goff. Philadelphia, Current Medicine, 1998.
In these topics
