honeypot link
skip to main content
Professional
Consumer
Merck Manual
Professional Version
MEDICAL TOPICS
RESOURCES
DRUG INFO
COMMENTARY
PROCEDURES
QUIZZES
ABOUT US
MEDICAL TOPICS
RESOURCES
<
Images
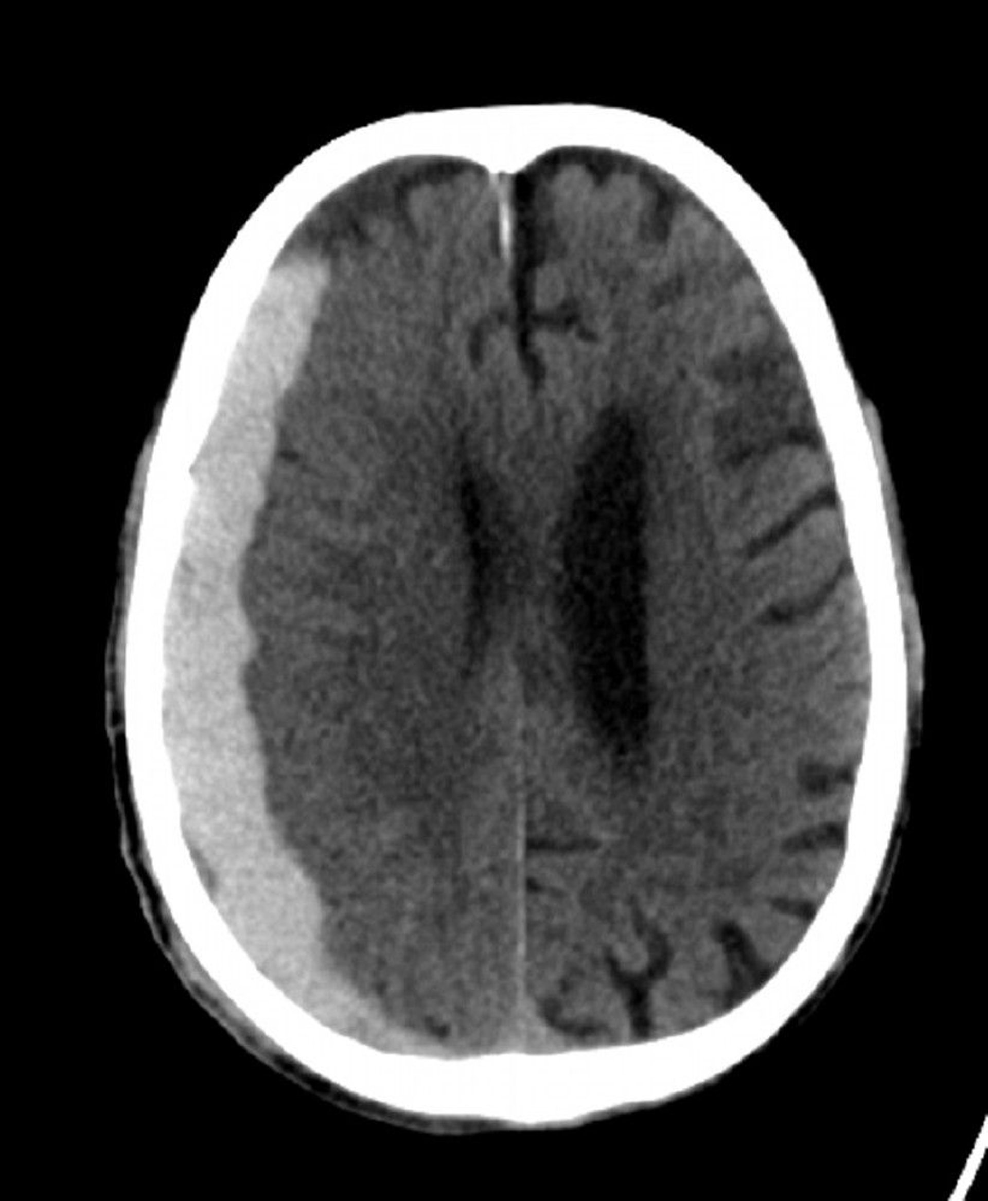
Subdural Hemorrhage (CT)
Classic crescent-shaped hyperdensity extending across suture lines.
© 2017 Elliot K. Fishman, MD.
In these topics
Overview of Coma and Impaired Consciousness
>
Traumatic Brain Injury (TBI)
>